무치악 임플란트
무치악 임플란트 과정, 방법, 시술 정보에 대해 상세히 안내해드립니다.
울산 남구 삼산동 드림연합치과는 체계적인 무치악 임플란트 진료 시스템을 갖추고 있습니다.

이미지 위에 가운데 동그라미를 클릭한 상태에서 왼쪽 또는 오른쪽으로 드래그해보세요! 드래그할 때마다 환자의 전후 변화를 확인하실 수 있습니다.




무치악 임플란트란?
모든 치아를 잃은 상태를 무치악 상태라고 합니다. 이는 일상생활에 큰 불편을 초래합니다.
음식을 씹는 즐거움을 잃고, 발음이 새는 등 대인관계에도 어려움을 겪을 수 있습니다.
드림연합치과는 무치악 환자분들의 고통을 깊이 공감하며, 자연 치아에 가까운 편안함과 기능을 회복할 수 있도록 최선을 다해 치료합니다.


무치악 상태에서 디지털 임플란트 디자인 (exocad Video Tutorial: Full Denture Design)
드림연합치과 무치악 임플란트 솔루션
턱뼈에 여러 개의 임플란트를 식립하고, 그 위에 맞춤형 보철물을 연결하여 전체 치아를 복원하는 치료법입니다.
드림연합치과의 협진과 풍부한 임상 경험과 첨단 디지털 기술이 집약된 이 과정은 다음과 같은 단계로 이루어집니다.
무치악 임플란트 장점
틀니에 비해 씹는 힘이 강하고, 안정적이며, 편안합니다. 자연 치아와 유사한 저작 기능과 심미성을 회복하여 삶의 질을 크게 향상시킬 수 있습니다.

드림연합치과의 무치악 임플란트 전문성
울산 드림연합치과의 무치악 임플란트는 전체 치아를 상실한 경우, 고정성 전체 임플란트를 통해 치아를 복원하는 치료 방법이며, 정확한 위치에 임플란트를 심어 틀어짐 없이 턱 관절과 근육, 얼굴형태와 조화를 이루는 것을 중요하게 생각합니다. 이를 통해 상실하기 전의 건강하고 아름다운 모습을 되찾을 수 있습니다.
정밀한 3D 디지털 설계
최신 3D CT 기술을 활용한 정확한 임플란트 위치 선정정밀한 3D 디지털 설계
“드림연합치과는 울산 자체 임플란트 센터 연구소에서 최신 3D CT 기술을 활용합니다. 이를 통해 환자의 턱뼈 구조와 신경 위치를 정밀하게 분석하여, 앞니 임플란트의 위치와 각도를 완벽하게 설계합니다. 이는 심미성과 기능성을 모두 고려한 최적의 결과를 보장하기 위해 최선을 다합니다.”
전문의 협진 시스템
전문의의 유기적인 협력으로 맞춤형 치료전문의 협진 시스템
“4층 전체를 사용하는 드림연합치과는 치주과, 통합치의학과 전문의, 보철과 전문의를 포함 5인의 다양한 분야의 전문의들이 한 공간에서 긴밀히 협력합니다. 이러한 협진 시스템은 복잡한 앞니 임플란트 케이스에서도 종합적인 접근을 가능케 하며, 환자에게 만족스러운 치료 결과를 제공합니다.”
풍부한 임상 경험
환자 개개인의 형태 맞춤형 임플란트 수술풍부한 임상 경험
“다양한 무치악 임플란트 케이스 성공적으로 치료한 풍부한 경험과 노하우로 환자의 만족스러운 임플란트 치료를 이끌어냅니다.”
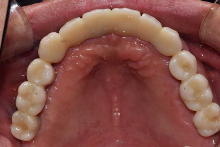
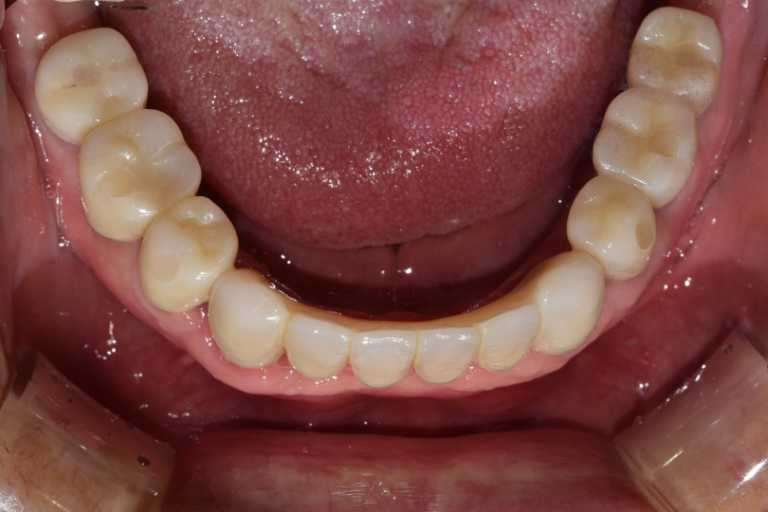
고정형 무치악 임플란트 전후 사례
무치악 임플란트 전후 실제 사례 #1, #2

이미지 위에 가운데 동그라미를 클릭한 상태에서 왼쪽 또는 오른쪽으로 드래그해보세요! 드래그할 때마다 환자의 전후 변화를 확인하실 수 있습니다.


#무치악 임플란트 환자 사례 : 임플란트로 찾은 새로운 미소


#무치악 임플란트 환자 사례 : 임플란트로 찾은 새로운 미소
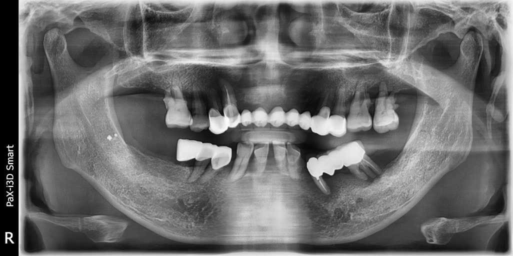
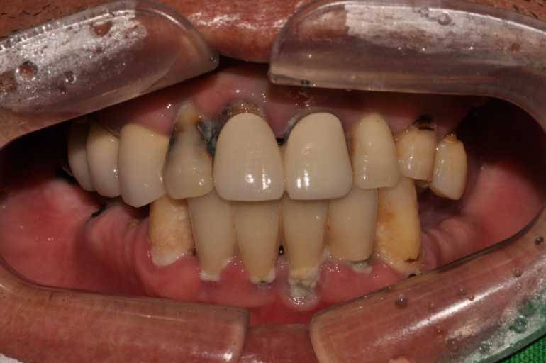
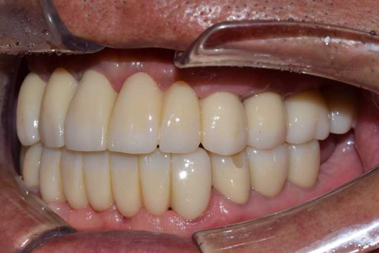
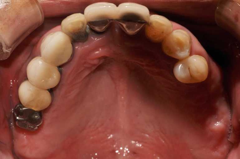
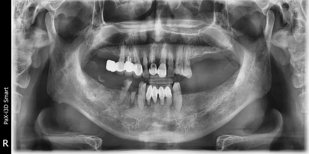
무치악 임플란트 전후 실제 사례 #3


#무치악 임플란트 환자 사례 : 기존 치아의 염증 상태로 인해 치료 시작일 때, 잔존치 전체 발치 + 상악동거상술(양쪽) + 뼈이식다수 + 임플란트 픽스처(뿌리) 17개 식립


#무치악 임플란트 환자 사례 : 기존 치아의 염증 상태로 인해 치료 시작일 때, 잔존치 전체 발치 + 상악동거상술(양쪽) + 뼈이식다수 + 임플란트 픽스처(뿌리) 17개 식립


#무치악 임플란트 환자 사례 : 기존 치아의 염증 상태로 인해 치료 시작일 때, 잔존치 전체 발치 + 상악동거상술(양쪽) + 뼈이식다수 + 임플란트 픽스처(뿌리) 17개 식립


#무치악 임플란트 환자 사례 : 기존 치아의 염증 상태로 인해 치료 시작일 때, 잔존치 전체 발치 + 상악동거상술(양쪽) + 뼈이식다수 + 임플란트 픽스처(뿌리) 17개 식립


#무치악 임플란트 환자 사례 : 기존 치아의 염증 상태로 인해 치료 시작일 때, 잔존치 전체 발치 + 상악동거상술(양쪽) + 뼈이식다수 + 임플란트 픽스처(뿌리) 17개 식립


#무치악 임플란트 환자 사례 : 기존 치아의 염증 상태로 인해 치료 시작일 때, 잔존치 전체 발치 + 상악동거상술(양쪽) + 뼈이식다수 + 임플란트 픽스처(뿌리) 17개 식립
드림연합치과 무치악 임플란트
7단계 과정
무치악 임플란트는 고도의 전문성과 정밀한 계획이 요구되는 복합적 시술입니다.
드림연합치과의 축적된 임상 경험과 첨단 디지털 기술이 집약된 이 과정은 다음과 같은 단계로 이루어집니다.
일반 틀니, 임플란트 틀니 비교
| 구분 | 임플란트 틀니 | 무치악 임플란트 |
|---|---|---|
| 모양 | 임플란트 + 틀니 | 임플란트 + 인공치아(보철) |
| 치아 착탈 | 가능 | 불가능 |
| 심미성 | 자연 치아와 유사 | 자연 치아와 유사 |
| 기능성 | 자연 치아 대비 60~70% | 자연 치아와 유사 |
| 역할 | 틀니를 잇몸에 연결해 주는 역할 | 인공치아를 잡아 주는 역할 |
| 임플란트 개수 | 위, 아래 각 2~4개 | 위, 아래 각 12개 내외 |


임플란트 틀니, 무치악 임플란트 비교
무치악 임플란트는 고도의 전문성과 정밀한 계획이 요구되는 복합적 시술입니다.
드림연합치과의 축적된 임상 경험과 첨단 디지털 기술이 집약된 이 과정은 다음과 같은 단계로 이루어집니다.
| 구분 | 일반 틀니 | 임플란트 틀니 |
|---|---|---|
| 유지력 | 잇몸으로만 지지하여 유지력이 떨어짐 | 임플란트 상부에 바(BAR)형태의 특수 장치 연결 |
| 임플란트 식립 | 없음 | 4~6개 정도의 임플란트 식립 |
| 저작력 | 자연 치아 기준 15~20% 이상 | 자연 치아의 70% 이상 |
| 잇몸뼈 손실 | 많음 | 적음 |
| 착용 시 흔들림 | 흔들림 발생 | 흔들림 없음, 상악의 경우 입천장 전체를 덮지 않음 |
| 비용 | 가장 저렴 | 일반 틀니에 비해 약간 높음 |


무치악 임플란트 종류
환자 맞춤형 무치악 임플란트, 드림연합치과에서 선택하세요.
환자의 잇몸뼈 상태, 건강 상태, 치료 목표 등을 고려하여 가장 적합한 무치악 임플란트 종류를 선택합니다.
고정형 무치악 임플란트

- 턱뼈에 여러 개의 임플란트를 식립하고, 그 위에 고정형 보철물을 연결하는 방식.
- 틀니처럼 탈착할 필요 없이 자연 치아처럼 편안하게 사용 가능.
- 씹는 힘이 강하고, 안정적이며, 심미성이 우수.
- 뼈이식이 필요한 경우가 많음.
임플란트 틀니 (오버덴처)

- 턱뼈에 2~4개의 임플란트를 식립하고, 그 위에 틀니를 고정하는 방식.
- 기존 틀니보다 안정적이고, 씹는 힘이 강함.
- 고정형 임플란트에 비해 비용이 저렴하고, 수술 범위가 적음.
- 틀니를 주기적으로 탈착하여 세척해야 함.
드림연합치과 무치악 임플란트
시술 과정
울산 임플란트 드림팀, 드림연합치과에서는 일반적으로 드림연합치과에서는 다음과 같은 단계로 정밀하고 안전한 임플란트 시술을 진행합니다.
환자에 따라 소요되는 시간이 다르니 정확한 검진을 위해 내원해서 상담하시기 바랍니다.
준비 단계 : 개인 맞춤 마취
환자 중심의 진료 원칙을 갖는 드림연합치과는 환자마다 다른 통증 민감도를 고려하여 개인별 맞춤 마취를 실시합니다. 통증 단계별로 다양한 마취 방법을 적용하여 환자의 편안함을 최우선으로 합니다.
수술 1단계 : 정밀한 절개
최소 침습, 최대 효과를 위해 숙련된 의료진이 최소한의 절개로 잇몸 절개 및 연조직 박리하여 임플란트 식립을 위한 공간을 확보합니다. 정교한 기술로 출혈과 통증을 최소화합니다.
수술 2단계 : 정확한 식립 공간 준비
첨단 장비를 사용하여 턱뼈에 정확한 위치와 깊이로 임플란트 식립 공간을 만듭니다. 이 과정에서 환자의 뼈 상태를 세심히 고려합니다.
수술 3단계 : 임플란트 식립
새로운 치아의 기초 마련합니다. 택된 임플란트를 정확한 위치에 안전하게 식립합니다. 이 단계에서 임플란트의 초기 고정력을 확인하고, 정밀한 시술 계획을 수립합니다.
수술 4단계 : 보호 장치 장착
안전한 치유를 위한 시작입니다. 임플란트 위에 피개 나사를 장착하여 치유 기간 동안 임플란트를 보호합니다. 이는 향후 보철물 연결을 위한 중요한 단계입니다.
수술 5단계 : 세심한 마무리
빠른 회복을 위한 준비, 즉 수술의 마무리 단계입니다. 절개된 연조직 조정 및 잇몸을 조심스럽게 봉합하여 빠른 회복을 돕습니다. 최소 침습 기법을 사용하여 환자의 불편함을 줄입니다.
기타 : 예상 소요 시간
임플란트 식립 1개 당 약 2-30분 예상
(골이식, 상악동 거상술 등 추가 시술 시 연장될 수 있습니다)
주의 사항
- 환자의 개별 상태에 따라 수술 방법이나 범위가 변경될 수 있습니다.
- 전문 임플란트 의료진의 세심한 관리가 필요합니다.
체계적인 임플란트 사후 관리까지
드림연합치과의 환자 중심 철학은 임플란트 시술 후 체계적인 사후 관리에서도 뚜렷이 나타납니다.
우리는 각 환자의 구강 상태, 시술 범위, 회복 속도를 고려한 맞춤형 사후 관리 프로토콜을 적용합니다.
이를 통해 환자 개개인에 맞춘 관리 일정과 방법을 제공하여 임플란트의 장기적 안정성과 기능성을 극대화 하는데 노력합니다.
이러한 정밀한 접근 방식은 합병증 위험을 감소시키면서, 환자의 만족도를 높입니다.
정기적인 검진, 전문적인 세정, 그리고 맞춤형 관리 교육을 통해 임플란트의 수명을 연장하고 환자의 구강 건강을 종합적으로 관리합니다.
무치악 임플란트 궁금증 해결 FAQ
무치악 임플란트 기본 정보
Q. 무치악 임플란트, 얼마나 오래 사용할 수 있나요?
A. 적절한 관리와 정기적인 검진을 통해 10년 이상, 길게는 평생 사용 가능합니다.
Q. 무치악 임플란트 추천 대상은 누구인가요?
A. 무치악 임플란트를 통해 내 치아와 비슷한 자연스러운 전체 임플란트를 원하시는 분입니다.
- 치아가 없으나 자연 치아의 기능을 원하시는 분
- 오랜 틀니 사용이 불편하신 분
- 치아 문제로 인해 발음이 불명확한 경우
- 얼굴 형태에 변화가 있는 분
Q. 무치악 임플란트, 수술이 무섭고 아플까 봐 걱정됩니다.
A. 드림연합치과는 환자분의 불안감을 덜어드리고 편안하게 치료받으실 수 있도록 최선을 다합니다. 수면 마취, 무통 마취 등 다양한 마취 옵션 제공, 수술 후 통증 관리에도 철저하게 신경 씁니다.
Q. 무치악 임플란트 비용은 어떻게 되나요?
A. 임플란트 종류, 개수, 뼈 이식 필요 여부, 사용하는 재료 등에 따라 비용이 달라질 수 있습니다. 드림연합치과는 환자분께 투명하고 정확한 비용 정보를 제공하며, 다양한 결제 방식을 제공합니다.
Q. 뼈 이식이 꼭 필요한가요?
A. 무치악 상태에서는 오랜 기간 치아가 없었기 때문에 잇몸 뼈가 흡수되어 임플란트를 지지할 만큼 뼈의 양이 부족한 경우가 많습니다. 이 경우, 성공적인 임플란트 식립을 위해 뼈 이식이 필요할 수 있습니다.
Q. 무치악 임플란트 후 주의사항은 무엇인가요?
A. 수술 후 처방된 약을 잘 복용하고, 흡연, 음주, 격렬한 운동은 피하는 것이 좋습니다. 부드러운 음식 위주로 섭취하고, 꼼꼼한 구강 위생 관리를 통해 임플란트 주변 염증을 예방해야 합니다. 정기적인 치과 검진을 통해 임플란트 상태를 꾸준히 관리하는 것이 중요합니다.






