불소도포(Fluoride Application)란?
불소도포는 치아 표면에 적정 농도 불소를 도포하여 치아를 튼튼하게 만들고 충치 예방에 도움이 되는 치료입니다.
불소는 치아 표면을 강화시켜 세균의 산으로부터 치아를 보호하고, 초기 충치 병변을 재광화시키는 효과가 있습니다.

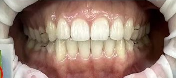
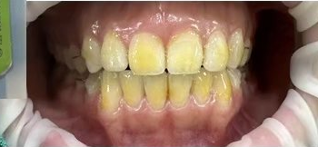
이미지 위에 가운데 동그라미를 클릭한 상태에서 왼쪽 또는 오른쪽으로 드래그해보세요! 드래그할 때마다 환자의 전후 변화를 확인하실 수 있습니다.


드림연합치과의 불소도포
드림연합치과는 안전성이 검증된 적정 농도 불소 용액을 사용하며, 환자분의 연령과 구강 상태를 고려하여 적절한 농도와 방법으로 불소도포를 시행합니다.
숙련된 치과 의사와 치위생사가 꼼꼼하고 안전하게 불소를 도포하여 충치 예방에 도움이 될 수 있습니다.
불소 도포 후 주의사항
불소도포 후 주의사항, 꼭 지켜주세요!
불소 도포의 효과
불소도포, 이런 효과를 기대할 수 있어요!
불소도포가 필요한 경우
치면세마, 이런 분들께 추천합니다!
드림연합치과의 불소도포
드림연합치과는 부드럽고 꼼꼼하게 안전성이 검증된 적정 농도 불소 용액을 사용하여 치아 표면에 불소 도포합니다.
환자분의 연령과 구강 상태를 고려하여 적절한 농도와 방법으로 숙련된 치위생사가 환자 개개인의 치아 상태에 맞춰 섬세한 불소도포를 제공합니다.
안전성이 검증된 적정 농도 불소 바니쉬 사용
연령과 구강상태 고려한 농도와 방법으로 불소도포
숙련된 치위생사의 꼼꼼하고 안전한 스케일링
예방 치과 진료의 종류
건강한 잇몸은 자연 치아를 지지하고 보호하는 역할을 합니다. 드림연합치과는 체계적인 검사와 진단을 통해 개인 맞춤형 치료 계획을 제공하고 있습니다.
불소도포 자주 묻는 질문 FAQ
예방 진료 : 불소도포 기본 정보
Q. 불소도포는 얼마나 자주 받아야 하나요?
A. 불소도포 주기는 개인의 구강 상태에 따라 다르기 때문에, 의료진의 안내에 따라 정기적인 관리가 필요합니다. 치과 의사와 상담을 통해 적절한 주기를 결정하는 것이 좋습니다.
Q. 불소도포는 아픈가요?
A. 불소도포는 통증이 없는 비교적 간편하고 안전한 치료입니다.
Q. 불소도포는 어린 아이에게도 안전한가요?
A. 네, 불소는 적절한 농도로 사용할 경우 어린 아이에게도 안전합니다. 드림연합치과에서는 어린이의 연령과 구강 상태에 맞춰 안전한 농도의 불소를 사용합니다.
Q. 불소도포 후 주의해야 할 점이 있나요?
A. 불소도포 후 의료진이 안내한 시간 동안 음식물 섭취를 제한합니다. 또한, 불소 용액을 삼키지 않도록 주의해야 합니다. 자세한 주의 사항은 위 ‘불소도포 후 주의사항’ 섹션을 참고해주세요!
Q. 불소도포 비용은 얼마인가요?
A. 불소도포 비용은 치과마다 다를 수 있습니다. 드림연합치과에서는 합리적인 비용으로 치면세마를 제공하고 있습니다. 자세한 비용은 문의해 주세요.
Q. 불소 치약을 삼키면 정말 위험한가요?
A. 치약에 포함된 불소는 매우 적은 양이기 때문에 위험하지 않다고 알려져 있습니다. 다만, 과량의 불소를 섭취하면 구토나 메스꺼움 등의 증상이 나타날 수 있으므로, 어린이의 경우 불소 치약을 쌀 한 톨 크기 또는 완두콩 한 알 크기 정도로 사용하고, 꼭 뱉어내도록 지도하는 것이 좋습니다.
Q. 불소 치약 사용하면 치아 변색이 생기나요?
A. 불소 치약을 적정량 사용하는 경우 치아 변색이 생기는 것은 아닙니다. 다만, 치아가 형성되는 영유아 시기에 과도한 불소에 노출되면 ‘치아 불소증’이 발생하여 치아에 흰색 반점이나 줄무늬가 생길 수 있습니다. 따라서 영유아 시기에는 불소 치약 사용량을 조절하고, 불소 보충제 섭취 여부를 치과 의사와 상담하는 것이 좋습니다.
Q. 불소 치약은 어릴 때만 사용하면 되는 건가요?
A. 아닙니다. 불소 치약은 충치 예방에 효과적이며, 성인에게도 충치는 발생할 수 있기 때문에 모든 연령대에서 사용하는 것이 좋습니다. 특히 충치가 잘 생기는 사람, 잇몸 질환이 있는 사람, 교정 치료 중인 사람 등은 불소 치약을 꾸준히 사용하는 것이 좋습니다.






