[울산 치과] 잇몸에 볼록한 고름 주머니(피스텔)? 터트리면 안 되는 진짜 이유! (드림연합치과)
[울산 치과] 잇몸에 볼록한 고름 주머니(피스텔)? 터트리면 안 되는 진짜 이유! (드림연합치과) 한 해를 마무리하는 12월, 급격히
[울산 치과] 치간칫솔 사이즈, 아무거나 쓰면 잇몸 망가집니다! (SS, S, M 선택 가이드)
[울산 치과] 치간칫솔 사이즈, 아무거나 쓰면 잇몸 망가집니다! (SS, S, M 선택 가이드) 마트
[울산 교정 치과] 생니 뽑기 싫다면? ‘비발치 교정’ 가능 조건과 장점 (드림연합치과)
[울산 교정 치과] 생니 뽑기 싫다면? ‘비발치 교정’ 가능 조건과 장점 (드림연합치과) “교정을 하고 싶은데, 멀쩡한 생니를
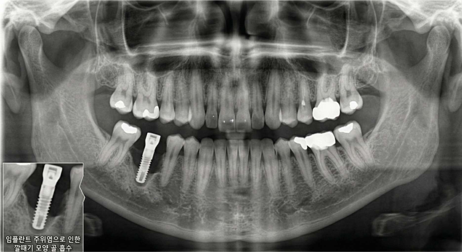
[울산 잇몸치료] 치주소파술 아플까요? 스케일링과 차이점, 비용 총정리 (드림연합치과)
[울산 잇몸치료] 치주소파술 아플까요? 스케일링과 차이점, 비용 총정리 (드림연합치과) “스케일링을 받았는데도 잇몸에서 계속 피가
[울산 치과] 워터픽(물치실) 효과와 부작용, 잇몸에 피가 난다면 필독! (드림연합치과)
[울산 치과] 워터픽(물치실) 효과와 부작용, 잇몸에 피가 난다면 필독! (드림연합치과)
[울산 치과] 마스크 속 입냄새, 원인은 따로 있습니다! (구취의 진짜 원인과 근본적인 해결책 총정리)
[울산 치과] 마스크 속 입냄새, 원인은 따로 있습니다! (구취의 진짜 원인과 근본적인 해결책 총정리) 겨울이 되어 마스크를
[울산 사랑니 발치] 통증 없는데 꼭 빼야 할까요? 매복 사랑니, CT, 주의사항 총정리
[울산 사랑니 발치] 통증 없는데 꼭 빼야 할까요? 매복 사랑니, cT,주의사항 총정리 이름은 ‘사랑’니지만, 그 존재를 알게
치아 이물감 | 양치해도 이빨에 낀 느낌, 원인은 따로 있습니다 (울산 드림연합치과)
[울산 치과] 양치해도 이빨에 낀 느낌, 음식물이 아닐 수 있습니다! (치아 이물감 원인 5가지)
양치질을 꼼꼼히 하고
‘스케일링’이란? 주의사항, 관리법 A to Z (울산 드림연합치과)
[울산 치과] 스케일링 총정리: 스케일링이란? 시린이, 통증 관리 등 필수 주의사항 A to Z
정기적인 스케일링 후,
😊 임플란트 관련 포스팅 바로가기
지난 포스팅 바로가기






