전체 임플란트 | 치료 과정과 방법
단순한 치아 대체를 넘어, 완전한 구강 생태계의 복원을 목표로 합니다.
드림연합치과의 전문성을 바탕으로 새로운 미소를 찾기 위해 최선을 다합니다.
전체 임플란트란?
Full Mouth Rehabilitation, 즉 전체 임플란트는 구강 기능의 전면적 재건을 위한 고난이도 임플란트 치과 시술입니다.
모든 치아 기능이 상실된 경우, 저작 기능, 발음, 심미성을 포괄적으로 회복합니다.

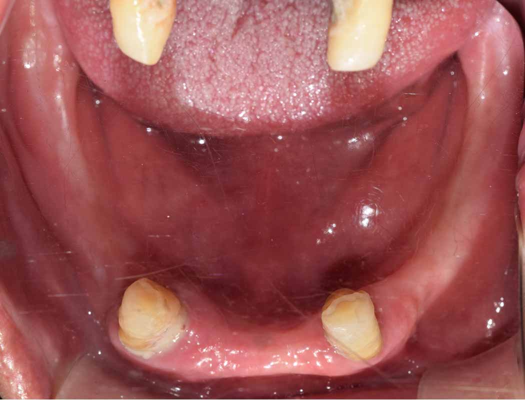
이미지 위에 가운데 동그라미를 클릭한 상태에서 왼쪽 또는 오른쪽으로 드래그해보세요! 드래그할 때마다 환자의 전후 변화를 확인하실 수 있습니다.


#전체 임플란트 환자 사례 : 17개 임플란트로 찾은 새로운 미소 CT & X-ray
전체 임플란트 3가지 핵심 장점
치아 기능 회복
저작력 기능 회복치아 기능 회복
“전체 임플란트는 자연치아와 유사한 저작력을 제공합니다. 단단한 음식도 쉽게 씹을 수 있어 식사의 즐거움을 되찾을 수 있습니다. 또한, 발음이 개선되어 자신감 있는 대화가 가능해집니다.”
우수한 심미성
자연스러운 미소와 얼굴 윤곽 회복우수한 심미성
“전체 임플란트는 자연치아와 구분하기 어려울 정도로 심미적입니다. 치아 상실로 인한 안면 함몰이 개선되어 젊고 건강한 인상을 되찾을 수 있습니다. 자신 있는 미소로 대인관계와 삶의 질이 향상됩니다.”
장기적인 구강 건강
턱뼈 흡수 방지 및 구강 건강 유지장기적인 구강 건강
“전체 임플란트는 턱뼈에 자극을 주어 골밀도를 유지하고 골흡수를 방지합니다. 이는 안면 형태 유지에 도움을 줍니다. 또한, 인접 치아에 부담을 주지 않아 전반적인 구강 건강 유지에 효과적입니다.”
드림연합치과 전체 임플란트
식립 수술 과정 : 약 4-5시간 이내
전체 임플란트의 경우 일반 임플란트와 달리 전체적인 교합 관계와 안모의 변화까지 고려해야 하는 더 복잡한 과정입니다.
드림연합치과에서는 다음과 같은 단계로 체계적이고 안전한 임플란트 수술을 진행합니다.
환자에 따라 소요되는 시간이 다르니 정확한 검진을 위해 내원해서 상담하시기 바랍니다.
🔥 주의사항
* 아래와 같은 여러 요인들로 인해 정확한 치료 계획은 정밀 검진 후 결정됩니다. 참조용으로만 확인 바랍니다.
👨⚕️ 환자 상태별 차이
- 잔존 골량과 골질에 따라 치료 계획 변동
- 기존 턱관절 상태에 따른 교합 설계 변경
- 상악동 상태에 따른 추가 처치 필요 가능
- 잇몸 상태와 바이오타입에 따른 접근법 차이
👨⚕️ 전신질환 관련
- 당뇨, 골다공증 등 전신질환에 따른 치유기간 조정
- 혈액순환 장애 시 치료 계획 변경 가능
- 복용 중인 약물에 따른 수술 시기 조정
👨⚕️ 치료 기간 변동 요인
- 골이식 여부에 따라 2-3개월 추가 소요 가능
- 상악동 거상술 시 3-4개월 추가 소요 가능
- 연조직 처치 필요시 치료 기간 연장
👨⚕️ 생활 습관 고려사항
- 흡연 여부에 따른 치유 기간 차이
- 이갈이/이악물기 습관에 따른 보철물 설계 변경
- 식습관에 따른 임시 보철물 디자인 조정
👨⚕️ 비용 관련
- 골이식 등 부가적 시술 필요성 여부
- 보철물 소재 선택에 따른 차이
- 건강보험 적용 가능 여부 확인 필요
전체 임플란트 적용 대상
드림연합치과에서는 환자의 상태와 필요에 따라 뼈 이식과 함께 병행하며 임플란트를 진행합니다.
우리는 협진 후 필요 시 뼈 이식, 상악동 거상술 등 다양한 고난이도 기술을 함께 활용합니다.
드림연합치과 전체 임플란트
전후 수술 예시 사례
드림연합치과는 환자 중심 자연치아의 보존을 최우선으로 하며, 임플란트는 신중히 고려된 대안으로만 제안됩니다.
그러나 일상생활이 어려운 환자들을 위해, 풍부한 대학 병원 임상경험을 바탕으로 양한 임플란트 케이스에 대한 경험을 보유하고 있습니다.
우리의 목표는 단순한 치아 대체가 아닌, 환자의 삶의 질 향상입니다.

이미지 위에 가운데 동그라미를 클릭한 상태에서 왼쪽 또는 오른쪽으로 드래그해보세요! 드래그할 때마다 환자의 전후 변화를 확인하실 수 있습니다.
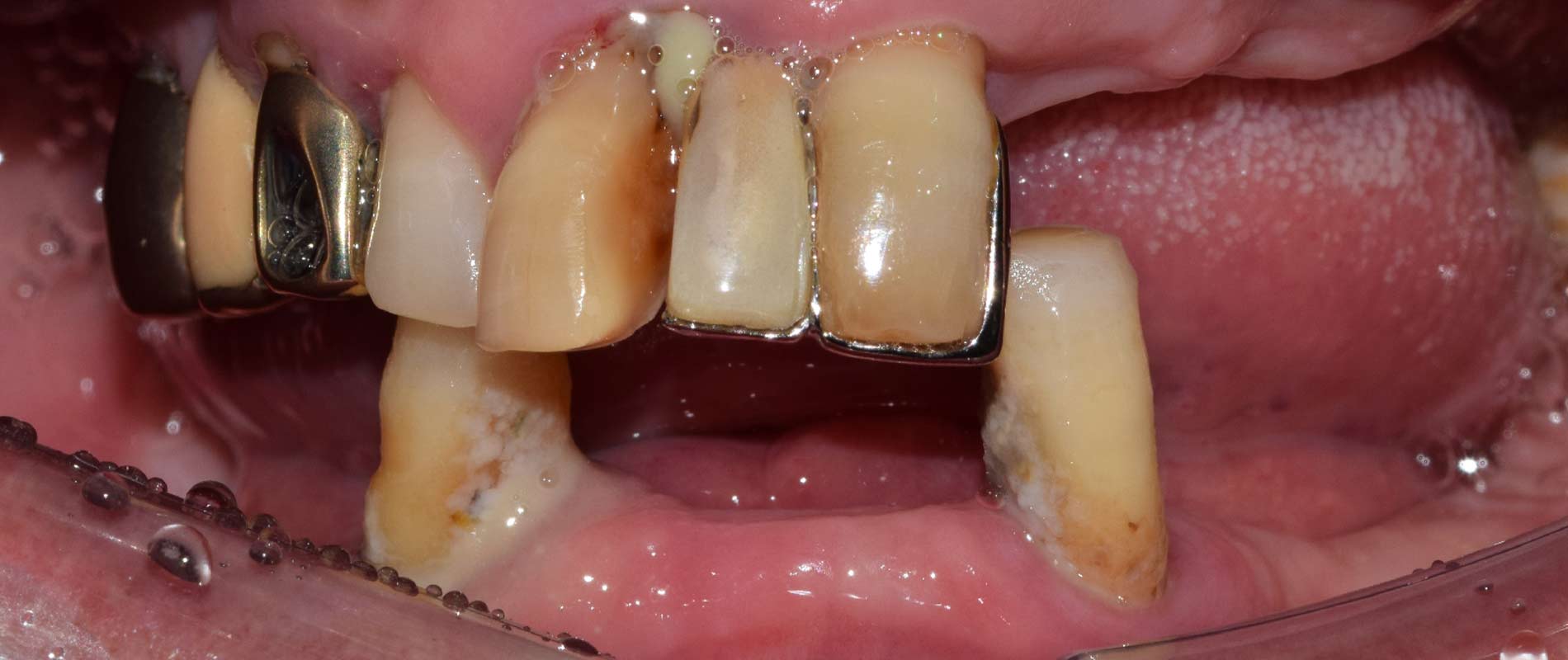
전체 임플란트 전 후 실제 사례


전체 임플란트 환자 사례 #1
전체 임플란트 전 후 실제 사례


전체 임플란트 환자 사례 #2
🦷 전체 임플란트 수술 전 후 Case 1


🦷 전체 임플란트 수술 전 후 Case 2


전체 임플란트 시 사용되는
뼈 이식 재료의 종류와 특징
드림연합치과에서는 환자의 상태와 필요에 따라 다양한 골 이식 재료를 사용합니다. 각 재료의 특징을 소개해 드립니다.


01. 자가골 (Autogenous bone graft)
- 환자 본인의 구강 내 또는 다른 부위에서 채취
- 장점 : 부작용 적고 치유 속도 빠름
- 단점 : 채취량 제한으로 적용 케이스 제한적
02. 동종골 (Allograft)
타인의 골을 원료로 사용
- 장점: 신생골 형성 우수, 치조골과 유사
- 단점: 질병 전염 가능성, 거부 반응 발생 가능
03. 이종골 (Xenograft)
주로 소, 말, 돼지 등 동물의 뼈에서 추출
- 장점: 높은 골 전도성, 안정적 흡수 속도
- 단점: 면역 반응 가능성, 골형성 속도 느림
04. 합성골 (Synthetic bone graft substitutes)
치아와 뼈의 주요 구성성분을 합성
- 장점: 저렴한 가격, 쉬운 확보, 볼륨 유지 우수, 거부 반응 적음
- 단점: 골 대체 속도 느림, 골질 다소 떨어짐
다양한 뼈 이식 임플란트 수술 방법
드림연합치과에서는 환자의 상태와 필요에 따라 다양한 뼈 이식 재료를 사용합니다. 각 재료의 특징을 소개해 드립니다.
입자형 골이식재 사용법 (Particulate bone grafting)
- 작은 입자 형태의 골이식 재료를 부족한 뼈 부위에 채워 넣는 방법
- 골 결손 부위를 채우고 새로운 뼈 성장을 유도
- 주로 작은 결손부위나 발치 후 즉시 이식에 사용
티타늄 메쉬를 이용한 골이식 (Titanium mesh guided bone regeneration)
- 티타늄 메쉬를 골 결손 부위 위에 덮고 그 안에 골이식재를 채우는 방법
- 메쉬가 이식재를 고정하고 원하는 형태로 뼈가 자라도록 유도
- 대규모 골 결손이나 수직적 골 증대에 효과적
상악동 거상술 (Sinus lift)
- 상악 구치부의 골량이 부족할 때 사용하는 방법
- 상악동 바닥을 들어올리고 그 공간에 골이식재를 채움
- 상악 어금니 부위 임플란트 식립을 위한 충분한 골량 확보에 사용.
체계적인 임플란트 사후 관리까지
드림연합치과의 환자 중심 철학은 임플란트 시술 후 체계적인 사후 관리에서도 뚜렷이 나타납니다.
우리는 각 환자의 구강 상태, 시술 범위, 회복 속도를 고려한 맞춤형 사후 관리 프로토콜을 적용합니다.
이를 통해 환자 개개인에 맞춘 관리 일정과 방법을 제공하여 임플란트의 장기적 안정성과 기능성을 극대화 하는데 노력합니다.
이러한 정밀한 접근 방식은 합병증 위험을 감소시키면서, 환자의 만족도를 높입니다.
정기적인 검진, 전문적인 세정, 그리고 맞춤형 관리 교육을 통해 임플란트의 수명을 연장하고 환자의 구강 건강을 종합적으로 관리합니다.
전체 임플란트 궁금증 해결 FAQ
전체 임플란트 기본 정보
Q. 전체 임플란트란 정확히 무엇인가요?
A. 전체 임플란트는 모든 치아가 상실된 경우, 턱뼈에 여러 개의 임플란트를 식립하고 그 위에 전체 치아를 대체하는 보철물을 장착하는 치료법입니다. 이는 저작 기능, 발음, 심미성을 포괄적으로 회복시켜 줍니다.
Q. 전체 임플란트와 틀니의 차이점은 무엇인가요?
A. 전체 임플란트는 턱뼈에 고정되어 틀니보다 안정적이고 편안합니다. 틀니와 달리 착탈이 필요 없으며, 저작력이 우수하고 턱뼈 흡수를 방지합니다.
Q. 전체 임플란트 시술 과정과 소요 기간은 어떻게 되나요?
A. 시술 과정은 진단, 계획, 임플란트 식립, 치유, 보철물 제작 및 장착으로 이루어집니다. 전체 과정은 보통 4-6개월이 소요되나, 뼈 이식이 필요한 경우 더 오래 걸릴 수 있습니다. 환자에 따라 다르니 반드시 내원하셔서 상담하시기 바랍니다.
Q. 전체 임플란트 후 관리는 어떻게 해야 하나요?
A. 정기적인 치과 검진, 올바른 칫솔질과 치실 사용, 치간 칫솔 사용 등 꾸준한 구강 위생 관리가 필요합니다. 또한 금연, 과도한 음주 자제, 딱딱한 음식 주의 등의 생활 습관 개선도 중요합니다.
Q. 전체 임플란트의 수명은 얼마나 되나요?
A. 적절한 관리와 정기적인 검진을 받는다면 전체 임플란트는 관리에 따라 장기간 사용 가능합니다. 하지만 개인의 구강 상태, 생활 습관, 전신 건강 상태에 따라 차이가 있을 수 있습니다.
Q. 전체 임플란트 시술 후 통증은 어느 정도인가요?
A. 시술 직후에는 약간의 통증과 불편함이 있을 수 있지만, 대부분 처방된 진통제로 조절 가능합니다. 보통 3-5일 정도 지나면 불편감이 크게 줄어들며, 1-2주 후에는 일상생활로 복귀할 수 있습니다. 환자마다 차이는 있을 수 있습니다.








