치근단 절제술
치근단절제술은 염증이 있는 치아 뿌리 끝을 제거하여 자연치아를 보존하는 효과적인 치료법입니다.
 드림연합치과는 첨단 기술과 풍부한 경험을 바탕으로 체계적인 진료와 치근단절제술을 제공합니다.
 

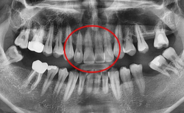
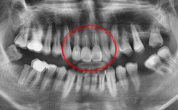
이미지 위에 가운데 동그라미를 클릭한 상태에서 왼쪽 또는 오른쪽으로 드래그해보세요! 드래그할 때마다 환자의 전후 변화를 확인하실 수 있습니다.


#자연치아보존 치근단절제술 환자 사례 : 드림연합치과 치근단절제술 사례 전후
치근단절제술이란?
치근단절제술은 신경치료 후에도 통증이 지속되거나 염증이 재발한 경우, 잇몸을 열고 치아 뿌리 끝을 절제하는 외과적 처치입니다. 이 과정에서 염증을 제거하고 뿌리 끝을 충전하여 치아를 보존합니다.
 
<MBC 건강 의학 정보 프로그램 – 건강배송센터 | 드림연합치과 정찬우 원장>
 
자연치아 살리기 설명 | 통합치의학 전문의
치과 전문 의료정보 프로그램에서 통합치의학과 전문의 정찬우 원장님의 설명에는 아래 내용을 담고 있습니다.
- 자연 치아를 뽑지 않고 치료할 수는 없을까? 자연치아 살리기?
- 치근단 절제술이 필요한 경우는?
- 치근단 절제술 진행 시 고려해야 할 사항?
- 치근단 절제술로도 해결되지 않는다면?
- 치아 재식술 시술 과정?
- 치근단 절제술, 치아 재식술 모두 불가능한 경우?
- 자연치아를 살리기 위해, 오래 유지하기 위해 필수적인 치과 정기검진 시기?
치근단절제술의 3가지 핵심 장점
‘자연치아 살리기’를 실천하면서 정밀한 염증 제거와 장기적인 자연 치아 건강을 도모하는 데 있습니다.
 이 치료법은 발치를 피하고, 필요한 치료로 재발을 방지하며, 일반 신경치료로 해결되지 않는 문제를 근본적으로 해결합니다.
 
자연치아 보존
인공 치아가 아닌 자신의 치아를 유지자연치아 보존
“재식술은 환자 본인의 치아를 그대로 유지합니다. 이는 자연스러운 감각과 기능을 보존하며, 인공 치아에 비해 더 편안한 사용감을 제공합니다. 또한 주변 치아와의 조화도 완벽히 유지됩니다.”
정밀한 염증 제거
치아 뿌리 끝 노출, 염증 확인 후 제거정밀한 염증 제거
“치근단절제술은 치아 뿌리 끝을 직접 노출시켜 정확한 염증 부위를 확인하고 제거합니다. 미세 현미경 사용으로 육안으로 보기 어려운 미세한 균열이나 부가 근관까지 처치할 수 있어, 일반 신경치료보다 더 정밀하고 효과적인 치료가 가능합니다.”
재발 방지 및 장기적 효과
재감염을 줄이고, 근본적 해결로 장기 건강재발 방지 및 장기적 효과
“치근단절제술은 철저한 염증 제거와 치근단 밀봉을 통해 재감염 가능성을 크게 줄입니다. 일반 신경치료로 해결되지 않은 문제를 근본적으로 해결하여 장기적인 치아 건강을 도모합니다. 이는 반복적인 치료의 필요성을 줄이고 환자의 삶의 질을 향상시킵니다.”
치근단절제술 적용 및 제한사항
치근단절제술이 필요한 경우
치아 뿌리 끝에 낭종이나 육아종이 형성된 경우
일반 신경치료 후 증상이 지속되거나 재발한 경우
치아 구조상 일반적인 신경치료로 접근이 어려운 경우
치아에 제거할 수 없는 포스트나 크라운이 있어 재신경치료가 불가능한 경우
치근단절제술이 불가능한 경우
드림연합치과 전체 치근단 절제술 과정
치근단절제술 후 초기 회복 기간 동안 치아의 안정성을 확인하며, 필요에 따라 정기적인 검진을 통해 구강 상태를 점검합니다.
 자연치아 살리기 위해 환자 개개인의 구강 상태에 맞춘 맞춤형 치료 계획을 세우고 최적의 결과를 위해 지속적으로 관리합니다.
 
한 눈에 보는 치근단절제술
주의사항
 환자 상태에 따라 치료 계획 및 기간이 달라질 수 있습니다. 환자 건강 상태, 전신질환, 생활 습관 등 다양한 요인에 따라 개별 맞춤형 진료가 필요하므로, 정확한 상담과 정밀 검진을 위해 반드시 내원하셔서 상담받으시기 바랍니다.
드림연합치과 치근단 절제술
 특장점
드림연합치과는 환자 중심 ‘자연치아 살리기’를 최우선으로 하며, 임플란트는 신중히 고려된 대안으로만 제안됩니다.
 자연치아는 생체 조직이므로 적절한 관리 시 평생 사용이 가능하며 감염에 대한 저항력도 뛰어납니다.
우리의 환자 중심 진료 철학을 통한, ‘자연치아 살리기’ 수술을 진행합니다.
첨단 3D CT 활용 : 정밀한 진단과 시술 계획 수립
전문의 협진 시스템 : 전문의 유기적 협력
미세 현미경 사용 : 고배율 시야로 정교한 시술 가능
치근단 절제술 자주 묻는 질문 FAQ
치근단 절제술 기본 정보
Q. 치아 뿌리에 염증이 있다고 하는데, 뿌리 전체를 제거하지 않고 치료할 수 있나요?
A. 네, 가능합니다. 치근단절제술을 통해 치아의 뿌리 끝 부분만 절제하여 염증을 제거할 수 있습니다. 이 방법은 치아를 보존하면서 염증을 효과적으로 치료할 수 있는 방법입니다.
Q. 치근단절제술 후 통증이 심한가요?
A. 시술 후 24시간 이내에 부기나 통증이 발생할 수 있으며, 이를 관리하기 위해 처방된 진통제를 복용하는 것이 좋습니다. 또한, 머리를 높이고 있는 자세로 휴식을 취하는 것이 도움이 됩니다.
Q. 치근단절제술은 어떤 경우에 받을 수 있나요?
A. 다음과 같은 경우에 치근단절제술을 고려할 수 있습니다
1. 재신경치료 후에도 증상이 지속되거나 뿌리 끝에 염증이 있는 경우
 2. 신경관이 막히거나 뿌리가 많이 휘어 재신경치료가 불가능한 경우
 3. 치아에 제거할 수 없는 포스트나 크라운이 있는 경우
 4. 뿌리 끝에 낭종이나 육아종이 형성된 경우
Q. 치근단절제술 후 일상생활은 언제부터 가능한가요?
A. 대부분의 환자는 시술 후 며칠 이내에 일상생활로 복귀할 수 있습니다. 그러나 첫 24시간 동안은 가능한 한 많이 쉬고 신체를 무리하게 사용하지 않는 것이 중요합니다.
Q. 치근단절제술과 일반 신경치료의 차이점은 무엇인가요?
A. 일반 신경치료는 치아 내부를 통해 접근하지만, 치근단절제술은 치아 뿌리 끝을 직접 노출시켜 치료합니다. 자세한 내용은 내원 후 상담하시기 바랍니다.
Q. 치근단절제술 후 합병증의 위험은 없나요?
A. 치근단절제술 후 합병증은 드물지만, 발생할 수 있습니다. 합병증에는 일시적인 감각 이상, 부종, 감염 등이 포함될 수 있으며, 적절한 관리와 처방된 약물로 대부분 해결할 수 있습니다. 시술 후의 예후는 환자 상태와 시술 방법에 따라 다를 수 있으며, 치과 전문의의 지시에 따라 관리하는 것이 중요합니다.
Q. 치근단절제술 후 특별한 관리가 필요한가요?
A. 시술 후 처음 며칠 동안은 차가운 찜질로 부종을 관리하고, 처방된 약물을 복용해야 합니다. 또한 2-3일간 부드러운 음식을 섭취하고, 시술 부위를 조심스럽게 칫솔질해야 합니다. 정기적인 follow-up 검진도 중요합니다.
Q. 치근단절제술과 치아재식술의 차이점은 무엇인가요?
A. 치근단절제술은 치아를 뽑지 않고 잇몸을 통해 직접 뿌리 끝에 접근하여 치료하는 방법입니다. 반면 치아재식술은 치아를 일시적으로 발치한 후 치료하고 다시 심는 방법입니다. 치근단절제술은 치아를 제자리에 유지한 채로 치료할 수 있어 회복이 더 빠르고 안정적입니다.
Q. 치근단절제술 후 회복 기간은 어떻게 되나요?
A. 대부분의 환자는 시술 후 며칠 이내에 일상생활로 복귀할 수 있습니다. 그러나 첫 24시간 동안은 가능한 한 많이 쉬고 신체를 무리하게 사용하지 않는 것이 중요합니다.




![[드림연합치과] 자연치아, 잃기 전에 지키세요! 재식술이 불가능한 경우에서 뿌리에 균열이 있는 경우 사진](https://xn--vb0bq78almeexi.kr/wp-content/uploads/2024/07/아픈사람_자연치아_치료합니다드림연합치과.jpg)














