임플란트 과정 및 치료 기간
임플란트 과정 및 치료 기간은 수술적 식립뿐만 아니라 환자의 구강 건강과 삶의 질을 향상시키는 종합적인 접근을 포함합니다.
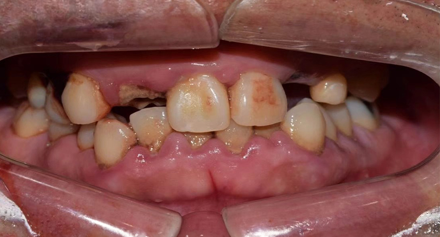
드림연합치과의 임플란트 치료 과정은 식립 수술 이후 지대주, 보철물까지의 일련의 과정을 꼼꼼하게 체계적으로 관리합니다.
임플란트 과정 및 치료 기간 설명

초기 상담 및 진단 | 1-2회 내원
첫 방문에서는 정밀한 구강 검진과 함께 첨단 저선량 3D CT 촬영을 통해 여러분의 구강 상태를 정확히 파악합니다. 전신 건강 평가도 함께 이루어져 체계적인 치료 계획의 토대를 마련합니다.
- CT 촬영 및 구강 검진: 약 1시간
※ 위 기간은 환자의 구강 상태, 전신 건강 상태, 치유 속도에 따라 달라질 수 있습니다.
※ 정기적인 내원으로 치료 과정을 체계적으로 관리하는 것이 중요합니다.

치료 계획 수립
수집된 정보를 바탕으로 각 환자에게 1:1 맞춤형 치료 계획을 수립합니다. 이 과정에서 예상 비용, 치료 기간, 예상 결과 등을 상세히 설명해 드립니다.
- 전신 건강 평가, 치료 계획 설명: 약 30분이내
※ 위 기간은 환자의 구강 상태, 전신 건강 상태, 치유 속도에 따라 달라질 수 있습니다.
※ 정기적인 내원으로 치료 과정을 체계적으로 관리하는 것이 중요합니다.

사전 치료 (필요 시)
임플란트의 장기적 성공을 위해 필요한 경우 사전 치료를 진행합니다. 잇몸 치료, 뼈 이식 등이 여기에 포함될 수 있으며, 이는 임플란트의 안정적인 식립과 장기적 관리를 돕는 중요한 단계입니다.
잇몸 치료: 상태에 따라 2-4주
- 뼈 이식: 치유 기간 3-6개월 필요
- 발치 후 치유: 일반적으로 2-3주
※ 위 기간은 환자의 구강 상태, 전신 건강 상태, 치유 속도에 따라 달라질 수 있습니다.
※ 정기적인 내원으로 치료 과정을 체계적으로 관리하는 것이 중요합니다.

치유 기간 및 관리
임플란트와 뼈가 단단히 결합하는 오세오 통합 과정((osseointegration, 뼈 융합))에는 보통 3-6개월이 소요됩니다. 이 기간 동안 정기적인 체크업을 통해 치유 과정을 면밀히 모니터링합니다. 환자분들께서는 제공해드리는 구체적인 관리 지침을 따라주시는 것이 중요합니다.
- 일반적인 경우: 약 3-4개월
- 뼈 이식 병행 시: 약 4-6개월
- 상악동 거상술 병행 시: 약 4-8개월
※ 위 기간은 환자의 구강 상태, 전신 건강 상태, 치유 속도에 따라 달라질 수 있습니다.
※ 정기적인 내원으로 치료 과정을 체계적으로 관리하는 것이 중요합니다.

보철물 제작 및 장착
치유가 완료되면, 정밀한 디지털 스캐닝을 통해 자연스럽고 편안한 보철물을 제작합니다. 자체 기공실에서 맞춤 제작된 보철물은 정밀한 맞춤 제작으로 자연스러운 심미성을 추구합니다. 이후 심어놓은 임플란트 위에 치아 보철물을 위한 기둥을 세우고, 이 기둥을 이용하여 보철물을 장착합니다.
- 인상 채득: 1회 약 30분
- 임시 보철물 장착: 1회 약 30분
- 최종 보철물 장착: 1회 약 1시간
※ 위 기간은 환자의 구강 상태, 전신 건강 상태, 치유 속도에 따라 달라질 수 있습니다.
※ 정기적인 내원으로 치료 과정을 체계적으로 관리하는 것이 중요합니다.

수술 직후
수술 후 곧바로 일상 생활이 가능합니다. 그러나 뼈 이식 등의 부가적인 수술을 시행한 경우 며칠 간의 안정이 필요할 수 있습니다. 환자의 상태, 이용하는 수술 방법, 재료의 종류에 따라 수술 후의 안정 기간이 달라질 수 있습니다.
※ 위 기간은 환자의 구강 상태, 전신 건강 상태, 치유 속도에 따라 달라질 수 있습니다.
※ 정기적인 내원으로 치료 과정을 체계적으로 관리하는 것이 중요합니다.














