[울산 치과] 잇몸에 볼록한 고름 주머니(피스텔)? 터트리면 안 되는 진짜 이유! (드림연합치과)
한 해를 마무리하는 12월, 급격히 떨어진 기온과 연말 송년회로 인한 잦은 술자리 때문에 몸이 천근만근 무거워지는 시기입니다. 피로가 쌓이면 우리 몸 곳곳에서 신호를 보내는데, 유독 입안에서 신경 쓰이는 변화를 감지하고 거울을 보게 되는 경우가 있습니다.
“어? 잇몸에 이게 뭐지? 여드름인가?”
양치질하다가, 혹은 혀끝으로 잇몸을 훑다가 우연히 발견한 볼록한 혹.
손으로 눌러보면 말랑말랑하기도 하고, 터질 듯이 탱탱하기도 합니다. 마치 얼굴에 난 여드름처럼 생겨서 ‘바늘로 콕 찔러서 고름만 짜내면 없어지지 않을까?’ 하는 유혹이 들기도 하고, ‘요즘 야근을 많이 해서 생긴 단순한 혓바늘 같은 거겠지’ 하며 대수롭지 않게 넘기려 하셨을지도 모릅니다.
하지만 잠깐만요! 절대 손대시면 안 됩니다. 지금 여러분 잇몸에 생긴 그 물집은 단순한 피로의 흔적이 아닙니다. 겉보기엔 작아 보이지만, 그 속은 잇몸뼈를 녹이고 있는 무서운 염증의 ‘빙산의 일각’일 수 있기 때문입니다.

<참조 이미지>
목차 안내
- [울산 치과] 잇몸에 볼록한 고름 주머니(피스텔)? 터트리면 안 되는 진짜 이유! (드림연합치과)
- 한 해를 마무리하는 12월, 급격히 떨어진 기온과 연말 송년회로 인한 잦은 술자리 때문에 몸이 천근만근 무거워지는 시기입니다. 피로가 쌓이면 우리 몸 곳곳에서 신호를 보내는데, 유독 입안에서 신경 쓰이는 변화를 감지하고 거울을 보게 되는 경우가 있습니다.
- “어? 잇몸에 이게 뭐지? 여드름인가?”
- 양치질하다가, 혹은 혀끝으로 잇몸을 훑다가 우연히 발견한 볼록한 혹.손으로 눌러보면 말랑말랑하기도 하고, 터질 듯이 탱탱하기도 합니다. 마치 얼굴에 난 여드름처럼 생겨서 ‘바늘로 콕 찔러서 고름만 짜내면 없어지지 않을까?’ 하는 유혹이 들기도 하고, ‘요즘 야근을 많이 해서 생긴 단순한 혓바늘 같은 거겠지’ 하며 대수롭지 않게 넘기려 하셨을지도 모릅니다.
- 하지만 잠깐만요! 절대 손대시면 안 됩니다. 지금 여러분 잇몸에 생긴 그 물집은 단순한 피로의 흔적이 아닙니다. 겉보기엔 작아 보이지만, 그 속은 잇몸뼈를 녹이고 있는 무서운 염증의 ‘빙산의 일각’일 수 있기 때문입니다.
- 1. 잇몸에 난 여드름? ‘피스텔’의 정체
- 2. 왜 생겼을까? (주요 원인 2가지)
- 3. “집에서 터트려도 되나요?” 절대 안 되는 이유
- 4. 자연치아를 살리는 단계별 치료법
- 5. 잇몸 고름 주머니, 이것이 궁금해요! (FAQ)
- 6. 마무리: 자연치아를 살리는 마지막 기회
- 관련 유튜브 참조 영상
- 드림연합치과 오시는 길 안내
- 울산 임플란트 치과 상담신청 | 드림연합치과
- 울산 임플란트, 울산 치과의 모든 것 만나러 가기! 👇
- 드림연합치과 사이트 메뉴 보기
- 💁♀️ 함께 보면 좋은 콘텐츠를 골라봤어요
안녕하세요. 울산 남구 삼산동에서 여러분의 소중한 자연치아를 끝까지 지키기 위해 노력하는 드림연합치과입니다.
많은 환자분이 이 증상을 발견하고도 “통증이 별로 없어서”, “저절로 터져서 없어지길래”라는 이유로 방치하다가, 치아가 심하게 흔들리는 상태가 되어서야 병원을 찾으십니다.
치과에서는 이 고름 주머니를 ‘피스텔(Fistula, 누공)’이라고 부릅니다. 이것은 잇몸 겉에 난 상처가 아니라, 치아 뿌리 끝 깊은 곳이나 잇몸뼈 속에서 생긴 고름이 뼈를 뚫고 나오면서 만든 ‘배출구’입니다. 즉, 눈에 보이는 고름을 짠다고 해서 해결되는 문제가 아니라, 땅속 깊은 곳의 원인(뿌리 염증)을 제거해야만 하는 상황인 것이죠.
오늘 울산 드림연합치과에서는 자칫 방치하면 소중한 치아를 발치하게 만드는 ‘피스텔’의 위험성과, 이를 터트리지 않고 원인을 찾아 치료하여 자연치아를 살리는 방법에 대해 아주 상세하게 알려드리겠습니다.

<유튜브 콘텐츠 일부 발췌 :Teeth Talk Girl–What is an Abscessed Tooth & What To Do About It >
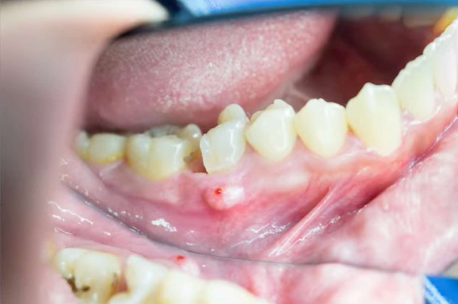
1. 잇몸에 난 여드름? ‘피스텔’의 정체
피스텔(Fistula)은 우리 몸속의 염증(고름)이 밖으로 배출되기 위해 만든 ‘고름 터널의 출구’입니다.
화산이 폭발할 때 지하 깊은 곳의 마그마가 압력을 견디다 못해 분화구를 통해 밖으로 나오는 것과 원리가 같습니다. 치아 뿌리 끝이나 잇몸 뼈 속에서 염증이 생겨 고름이 차오르면, 내부 압력이 높아집니다. 이 고름이 뼈와 잇몸 조직 중 가장 연하고 얇은 쪽으로 길을 뚫고 나오면서 볼록한 주머니를 형성하는 것입니다.
따라서 겉에 보이는 주머니는 결과물일 뿐, 진짜 원인은 잇몸 속, 뼈 내부에 숨어 있습니다.

<참조 이미지 >
2. 왜 생겼을까? (주요 원인 2가지)
고름 주머니가 생기는 원인은 크게 두 가지로 나뉩니다. 원인에 따라 치료 접근법이 완전히 다르므로, 3D-CT 등을 통한 정확한 진단이 선행되어야 합니다.
원인 1: 신경 괴사 및 뿌리 끝 염증 (치근단 농양)
가장 흔한 원인입니다.
심한 충치: 충치균이 신경(치수)까지 침투하여 신경을 썩게 만든 경우
- 외상: 치아가 부딪히거나 충격을 받아 신경이 서서히 죽은 경우
- 과거 치료 실패: 예전에 신경치료를 받았으나, 미세한 신경관 등에 세균이 남아 다시 번식한 경우
치아 내부의 세균이 뿌리 끝 구멍을 통해 턱뼈로 빠져나가 고름을 만들고, 이것이 커지면서 잇몸 밖으로 튀어나온 것입니다.
원인 2: 심각한 잇몸 질환 (치주 농양)
치아 내부(신경)의 문제가 아니라, 치아를 지탱하는 잇몸 뼈와 잇몸 자체의 문제입니다. 치석이 치아 뿌리를 타고 깊이 파고들어 깊은 치주낭(주머니)을 만들고, 그 안에 염증이 갇혀서 고름 주머니가 되는 경우입니다. 주로 잇몸이 전체적으로 안 좋은 분들에게서 나타납니다.

<참조 이미지>
3. “집에서 터트려도 되나요?” 절대 안 되는 이유
많은 환자분이 “답답해서 바늘로 찔러 고름을 뺐더니 좀 가라앉더라”라고 말씀하십니다. 하지만 이는 매우 위험하고 무의미한 행동입니다.
- 원인 해결 불가: 고름을 빼내는 것은 일시적으로 내부 압력만 낮추는 것입니다. 고름을 끊임없이 생산하는 ‘공장(뿌리 끝 염증)’은 뼈속에서 계속 가동 중이므로, 며칠 뒤면 구멍이 막히고 다시 부풀어 오릅니다.
- 2차 감염 위험: 소독되지 않은 바늘이나 손톱으로 건드리면 외부 세균이 침투하여 염증이 급속도로 악화될 수 있습니다.
- 치료 시기 지연 (가장 큰 문제): 자가 처치로 증상이 완화되었다고 착각하여 방치하는 사이, 잇몸뼈는 소리 없이 계속 녹아내립니다. 결국 살릴 수 있었던 치아도 발치해야 하는 상황에 이르게 됩니다.

<참조 이미지>
4. 자연치아를 살리는 단계별 치료법
울산 드림연합치과는 무조건적인 발치보다는, 원인을 정확히 찾아 자연치아를 보존하는 치료를 최우선으로 시행합니다.
1단계: 재신경치료 (Re-Endo)
신경관 내부가 오염되어 뿌리 끝 병소가 생긴 경우에 시행합니다. 기존에 채워져 있던 신경치료 충전물을 모두 제거하고, 복잡한 신경관 내부를 특수 약제와 기구로 깨끗이 소독한 뒤 다시 밀봉합니다. 성공적으로 소독되면 뼈속 염증이 줄어들면서 겉의 고름 주머니도 자연스럽게 사라집니다.
2단계: 치근단 절제술 (Apicoectomy)
재신경치료가 불가능하거나(기둥이 박혀있는 등), 치료 후에도 염증이 낫지 않는 경우에 시행합니다. 잇몸을 살짝 절개하여 염증의 원인이 되는 치아 뿌리 끝부분(약 3mm)을 잘라내고, 주변의 염증 조직을 직접 긁어내는 미세 수술입니다.
3단계: 치아 재식술 및 발치
위 방법들로도 도저히 살릴 수 없을 만큼 치아 뿌리가 심하게 갈라졌거나(수직 파절), 잇몸뼈가 너무 많이 녹아 치아를 지탱할 수 없다면 안타깝지만 발치 후 임플란트 등을 고려해야 합니다.

<참조 이미지>
5. 잇몸 고름 주머니, 이것이 궁금해요! (FAQ)
Q1: 안 아픈데 꼭 치료해야 하나요?
A: 네, 반드시 해야 합니다. 통증이 없는 이유는 고름이 터져 나와 내부 압력이 줄어들었거나, 신경이 이미 괴사하여 통증을 못 느끼기 때문입니다. 증상이 없다고 방치하면 염증이 뼈를 광범위하게 녹여 주변 치아까지 망가뜨립니다.
Q2: 약국 잇몸약(항생제) 먹으면 없어지나요?
A: 약을 먹으면 일시적으로 붓기가 가라앉을 수 있습니다. 하지만 이는 불이 난 집에 불을 끄지 않고 잠시 천으로 덮어두는 것과 같습니다. 약 기운이 떨어지면 반드시 재발하며, 내성만 키울 수 있으므로 근본적인 치과 치료가 필수입니다.
Q3: 치료하면 바로 없어지나요?
A: 원인 치료(신경치료 등)를 시작하면 고름이 나오는 통로가 닫히면서 보통 1~2주 내로 잇몸의 혹은 사라집니다. 하지만 뼈속에 생긴 구멍이 뼈로 다시 차오르는 데는 수개월이 걸릴 수 있습니다.
Q4: 임플란트 한 곳에도 생기나요?
A: 네, 임플란트도 관리가 안 되면 ‘임플란트 주위염’이 발생하여 고름 주머니가 생길 수 있습니다. 자연치아보다 진행 속도가 빠르므로 발견 즉시 내원해야 합니다.
Q5: 그냥 두면 뼈가 녹나요?
A: 네, 고름(염증)은 주변의 잇몸뼈를 녹이는 성질이 있습니다. 방치할수록 뼈 흡수가 진행되어, 나중에 임플란트를 하려 해도 뼈가 부족해 뼈이식을 많이 해야 하는 등 치료가 훨씬 복잡해집니다.

<참조 이미지>
6. 마무리: 자연치아를 살리는 마지막 기회
잇몸에 생긴 작은 혹, ‘피스텔’은 우리 몸이 보내는 긴급 구조 신호(SOS)입니다.
“요즘 좀 피곤해서 그렇겠지”, “안 아프니까 괜찮아”라며 무시하고 넘기는 순간, 여러분의 소중한 자연치아를 살릴 수 있는 골든타임은 속절없이 지나가 버립니다.
터트리지 마세요. 약으로 참지 마세요.
발견 즉시 울산 드림연합치과를 찾아주세요.
저희는 화려한 수술보다는 기본에 충실한 진료를 통해, 환자분의 자연치아 수명을 1년이라도 더 연장하는 것을 최우선 목표로 삼습니다. 첨단 3D-CT 장비를 이용한 정밀 진단과 의료진의 협진 시스템으로, 잇몸 속 염증의 뿌리까지 찾아내어 소중한 치아를 지켜드리겠습니다.
본 포스팅은 의료 정보 제공을 목적으로 작성되었으며, 특정 치료법을 권장하거나 진단을 내리는 것이 아닙니다. 실제 치료는 반드시 전문 의료진과 상담 후 결정해야 합니다. 한국 의료법에 위배되지 않도록 최대한 정확하고 객관적인 정보만을 제공하려 노력했습니다.

본 포스팅은 정보 제공 목적으로 작성되었으며, 특정 질병의 진단 또는 치료를 대체할 수 없습니다. 치과 치료와 관련된 모든 결정은 반드시 의료진과 상담 후 결정하시기 바랍니다.
📞 빠른 문의 : 052-260-8275
- 📍 위치 : 울산광역시 남구 삼산로 344, 드림연합빌딩
관련 유튜브 참조 영상
“참고 문서”
제목: Cutaneous and Intraoral Sinus Tracts of Odontogenic Origin: A Diagnostic Dilemma
- 저널: Journal of Endodontics (2018)
- 내용: 치아 원인으로 발생하는 누공(Sinus Tract, 잇몸 고름 주머니)의 경로와 원인을 분석한 논문입니다. 잇몸에 생긴 볼록한 병소는 독립적인 질환이 아니라, 치수 괴사(신경 죽음)나 뿌리 끝 만성 농양이 뼈를 뚫고 배출되는 ‘통로’임을 명확히 합니다. 이는 겉에 보이는 고름만 터트리는 것이 왜 무의미한지, 그리고 근본 원인인 치아 내부(신경)를 치료해야 함을 시사하는 강력한 근거가 됩니다.
- 링크: https://pubmed.ncbi.nlm.nih.gov/30444985/
제목: Systemic antibiotics for symptomatic apical periodontitis and acute apical abscess in adults
- 저널: Cochrane Database of Systematic Reviews (2018)
- 내용: 의학계에서 신뢰도가 높은 코크란 리뷰입니다. 급성 치근단 농양(뿌리 끝 염증)이 있을 때 항생제 처방만으로는 치료 효과가 불충분하며, 반드시 물리적인 치료(신경치료, 배농, 발치 등)가 동반되어야 함을 입증했습니다. 이는 환자들에게 “약만 먹고 버티면 안 된다”는 점을 경고하는 중요한 근거 자료입니다.
- 링크: https://www.cochranelibrary.com/cdsr/doi/10.1002/14651858.CD010136.pub3/full
제목: Endodontic-Periodontal Lesions: Diagnostics and Treatment Planning
- 저널: Dentistry Journal (2019)
- 내용: 잇몸 고름 주머니가 치아 신경의 문제(Endo)인지, 잇몸 자체의 문제(Perio)인지, 혹은 둘 다 복합된 문제인지 진단하고 치료하는 과정을 다룹니다. 원인에 따라 치료법(신경치료 vs 잇몸치료)이 완전히 달라짐을 강조하므로, 자가 진단이나 자가 처치(바늘로 찌르기 등) 대신 치과에서의 3D-CT 정밀 진단이 왜 필수적인지를 뒷받침합니다.
- 링크: https://www.ncbi.nlm.nih.gov/pmc/articles/PMC6359265/
“치과 관련 학회 웹사이트” 및 참조 자료
“온라인 학술 데이터베이스”
- PubMed: https://pubmed.ncbi.nlm.nih.gov/
- Google Scholar: https://scholar.google.com/
드림연합치과 오시는 길 안내
울산광역시 남구 삼산로 344, 드림연합빌딩
울산 임플란트 치과 상담신청 | 드림연합치과
울산 임플란트, 울산 치과의 모든 것 만나러 가기! 👇










