[울산 시린이 치료] 겨울바람에 이가 찌릿! ‘치경부 마모증’ 방치하면 신경치료까지? (드림연합치과)
오늘 아침, 출근길 현관문을 나서자마자 얼굴을 때리는 찬 바람에 “흡!” 하고 숨을 들이마셨다가 치아가 시려서 깜짝 놀라지는 않으셨나요?
마스크를 살짝 내리고 찬 공기를 마실 때마다 앞니와 어금니 사이로 파고드는 날카롭고 찌릿한 통증.
따뜻한 물을 마실 때는 괜찮은데, 유독 찬물이나 찬 바람에만 반응하는 이 시큰거림.
“겨울이라서 원래 이런 거겠지”, “대충 참으면 봄에는 괜찮아지겠지”
혹시 이렇게 생각하며 시린 이를 꾹 참고 계시지는 않나요?
하지만 우리 몸, 특히 치아는 거짓말을 하지 않습니다. 찬 바람에 이가 시리다는 것은, 치아의 가장 단단한 보호막이 벗겨져 신경이 외부 자극에 무방비하게 노출되었다는 명백한 구조 요청(SOS)입니다. 이를 무시하면 간단하게 때워서 끝날 치료가, 결국 신경을 제거해야 하는 큰 치료로 커질 수 있습니다.

<참조 이미지>
목차 안내
안녕하세요. 울산 남구 삼산동에서 여러분의 소중한 자연치아를 지키기 위해 연구하는 드림연합치과입니다.
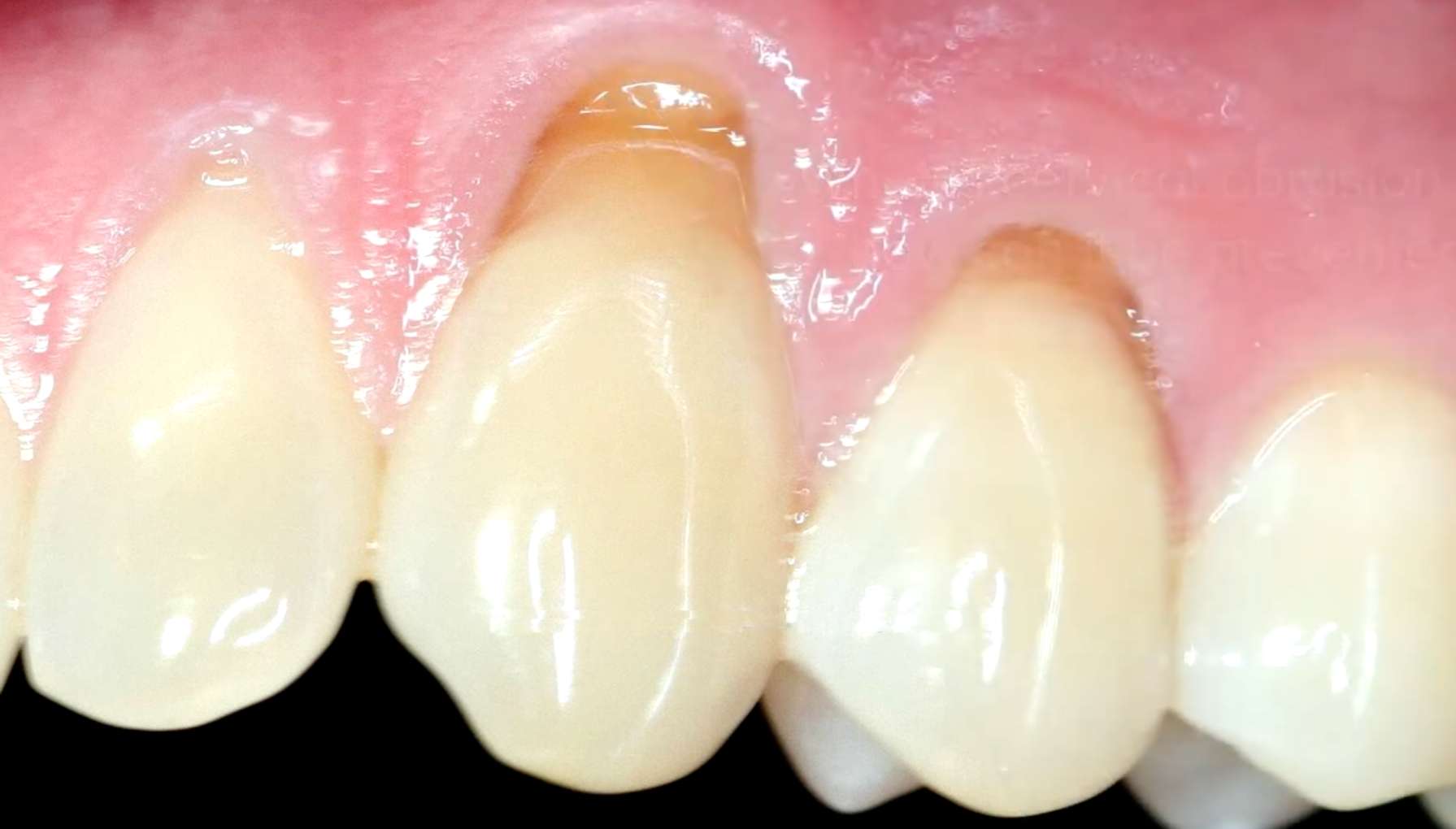
겨울철만 되면 시린 이 증상을 호소하며 내원하시는 환자분이 급증합니다. 충치도 없는데 왜 이렇게 시린지 모르겠다며 걱정하시지만, 검진해 보면 대부분의 원인은 ‘치경부 마모증(Cervical Abrasion)’인 경우가 많습니다.
치아와 잇몸이 만나는 경계 부위(치아의 목 부분)가 도끼로 찍은 듯이 패여 나가는 이 증상, 도대체 왜 생기며 어떻게 치료해야 할까요?
오늘 울산 드림연합치과에서 겨울철 시린 이의 진짜 원인과, 치아를 뽑거나 신경치료 하지 않고 간단하게 해결하는 방법에 대해 상세히 알려드리겠습니다.

<유튜브 콘텐츠 일부발췌:Doctors’ Circle World’s Largest Health Platform-What is cervical abrasion & how can it be prevented?>
1. 겨울에 더 시린 이유: 내 치아의 코트가 벗겨졌다?
우리 치아의 겉면은 ‘법랑질(Enamel)’이라는 아주 단단한 갑옷으로 덮여 있습니다. 이 갑옷은 온도 변화로부터 치아 내부의 신경을 보호해 줍니다. 마치 우리가 겨울에 두꺼운 패딩을 입는 것과 같습니다.
하지만 특정 원인에 의해 잇몸 경계 부위의 법랑질이 떨어져 나가면, 그 안에 있는 ‘상아질(Dentin)’이 노출됩니다. 상아질에는 신경과 연결된 미세한 관들이 무수히 많습니다.
겨울철의 찬 바람이나 차가운 물이 이 노출된 상아질에 닿으면, 자극이 신경으로 직통으로 전달되어 소스라치게 놀랄 만큼 시린 통증을 느끼게 되는 것입니다. 즉, 치아가 패딩을 벗고 맨살로 겨울바람을 맞고 있는 상태인 것이죠.

<참조 이미지 >
2. 치아 목 부분이 패이는(마모) 진짜 원인 3가지
“충치도 아닌데 왜 치아가 패였을까요?”
잘못된 양치 습관 (가장 큰 원인):
칫솔을 좌우로 강하게 문질러 닦는 ‘횡마법’을 오래 지속하면, 치아 중 가장 얇은 부위인 목 부분이 톱질하듯 깎여 나갑니다.
- 과도한 교합력 (이갈이/이 악물기): 잠잘 때 이를 갈거나, 스트레스로 이를 꽉 무는 습관이 있으면 치아에 엄청난 압력이 가해집니다. 이 힘이 치아 목 부분에 집중되면 치아 조각이 툭툭 떨어져 나가는 ‘굴곡 파절’이 일어납니다.
- 질기고 딱딱한 식습관:오징어, 얼음, 질긴 고기를 즐기면 치아에 과부하가 걸려 마모 속도가 빨라집니다.

<참조 이미지>
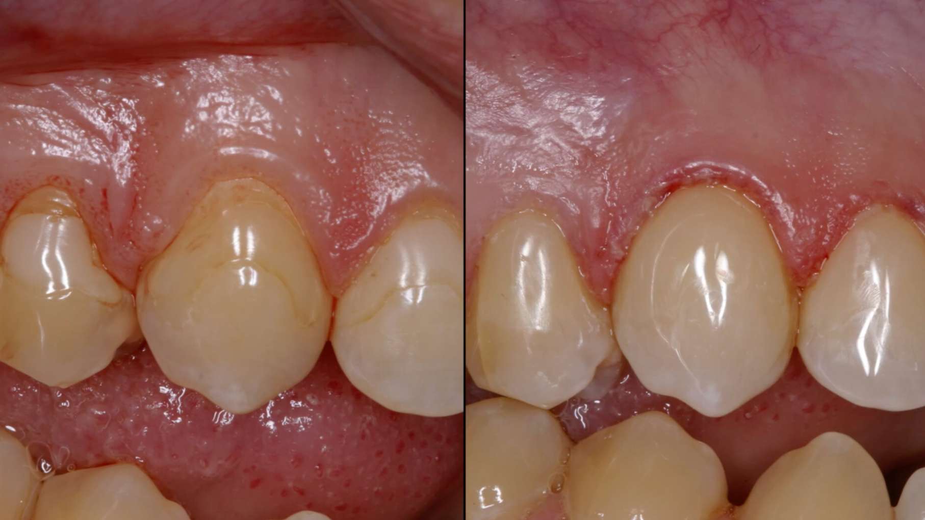
3. 시린 이 해결사: 레진(Resin) vs GI(보험 재료) 차이점
치경부 마모증의 치료법은 아주 심플합니다. 패여서 노출된 부위를 치과용 재료로 메워서, 신경을 보호해 주는 것입니다. 울산 드림연합치과에서는 환자분의 상태와 니즈에 따라 두 가지 재료 중 선택하여 진료합니다.
| 구분 | 레진 (Resin) | GI (글래스 아이오노머) |
|---|---|---|
| 심미성 (색상) | 우수함 (치아색과 거의 동일) | 보통 (탁한 흰색, 티가 날 수 있음) |
| 강도 및 유지력 | 강함 (잘 떨어지지 않고 오래감) | 약함 (마모가 빠르고 탈락 가능성 높음) |
| 건강보험 | 비보험 (비용 발생) | 보험 적용 (저렴함) |
| 추천 대상 | 앞니 등 잘 보이는 부위, 오래 쓰고 싶은 경우 | 비용 절감이 우선인 경우, 임시로 때우는 경우 |

<유튜브 콘텐츠 일부 발췌 :Cosmedent, Inc.-Class V Cervical Restorations>
4. 치료 안 하고 방치하면 벌어지는 일 (신경치료)
“조금 시린 건데 그냥 참으면 안 될까요?”
초기에는 찬물에만 시리지만, 패인 곳이 점점 깊어지면 다음과 같은 단계로 악화됩니다.
- 중기: 패인 곳에 음식물이 끼어 충치가 발생합니다.
- 말기: 마모가 신경 근처까지 도달하여, 가만히 있어도 욱신거리는 치수염이 발생합니다.
- 결과: 간단하게 때울 수 있었던 치아를 결국 신경치료하고 크라운을 씌워야 하거나, 심하면 치아가 부러져 발치해야 할 수도 있습니다.
호미로 막을 것을 가래로 막지 않으려면, 시린 증상이 있을 때 바로 메워주는 것이 가장 현명합니다.

<참조 사진>
5. 시린 이, 이것이 궁금해요! (FAQ)
Q1: 시린이 전용 치약, 효과 있나요?
A: 초기나 경미한 증상에는 도움이 됩니다. 시린이 치약의 성분이 노출된 상아세관 구멍을 막아주기 때문입니다. 하지만 이미 눈에 띄게 패인 경우에는 치과 치료가 필수입니다.
Q2: 불소 도포를 하면 안 시린가요?
A: 네, 치아가 많이 패이지 않고 전반적으로 시린 경우에는 고농도 불소 도포가 치아를 코팅해주어 시린 증상을 완화하는 데 효과적입니다.
Q3: 잇몸이 내려앉은 것도 원인인가요?
A: 맞습니다. 잇몸 질환(풍치)이나 노화로 잇몸이 내려가면 치아 뿌리가 노출되어 시릴 수 있습니다. 이 경우 잇몸 치료와 병행하여 패인 곳을 치료해야 합니다.
Q4: 치료할 때 마취해야 하나요?
A: 대부분 마취 없이 진행할 만큼 통증이 적습니다. 하지만 바람만 스쳐도 아플 정도로 예민해진 상태라면, 환자분의 편안함을 위해 국소 마취를 살짝 하고 진행합니다.
Q5: 치료 후 바로 식사 가능한가요?
A: 레진 치료의 경우 특수 광선으로 즉시 굳히기 때문에 바로 식사가 가능합니다. GI 재료는 굳는 데 시간이 걸려 하루 정도는 해당 부위로 씹는 것을 피해야 합니다.

<참조 사진>
6. 마무리
찬 바람이 불 때마다 이가 찌릿하다면, 더 이상 참지 마세요.
치경부 마모증 치료는 치아를 깎아내는 것이 아니라, 사라진 보호막을 다시 입혀주는 ‘보존 치료’입니다. 진료 시간도 10~20분 내외로 짧고, 통증도 거의 없어 부담 없이 받으실 수 있습니다
울산 드림연합치과는 과잉 진료 없이, 꼭 필요한 부위만 꼼꼼하게 채워드려 여러분의 자연치아 수명을 지켜드립니다. 이번 겨울, 시린 이 걱정 없이 따뜻한 차 한 잔의 여유를 즐기시길 바랍니다.
본 포스팅은 의료 정보 제공을 목적으로 작성되었으며, 특정 치료법을 권장하거나 진단을 내리는 것이 아닙니다. 실제 치료는 반드시 전문 의료진과 상담 후 결정해야 합니다. 한국 의료법에 위배되지 않도록 최대한 정확하고 객관적인 정보만을 제공하려 노력했습니다.

본 포스팅은 정보 제공 목적으로 작성되었으며, 특정 질병의 진단 또는 치료를 대체할 수 없습니다. 치과 치료와 관련된 모든 결정은 반드시 의료진과 상담 후 결정하시기 바랍니다.
📞 빠른 문의 : 052-260-8275
- 📍 위치 : 울산광역시 남구 삼산로 344, 드림연합빌딩
관련 유튜브 참조 영상
“참고 문서”
제목: Non-carious cervical lesions: The role of occlusal forces (Abfraction) and erosion/abrasion
- 저널: Journal of Esthetic and Restorative Dentistry (2014)
- 내용: 치아 목 부분이 패이는 현상(NCCL)이 단순히 칫솔질(Abrasion)뿐만 아니라, 씹는 힘(Occlusal force)에 의한 굴곡 파절(Abfraction)이 복합적으로 작용함을 밝힌 논문입니다. 치아에 가해지는 과도한 압력이 치경부의 얇은 법랑질을 미세하게 파절시킨다는 점을 시사합니다
- 링크: https://onlinelibrary.wiley.com/doi/abs/10.1111/jerd.12114
제목: Dentin hypersensitivity: Etiology, diagnosis and treatment; A literature review
- 저널: Journal of Dentistry (2013)
- 내용: 시린 이(상아질 지각과민증)의 원인과 치료법을 광범위하게 분석한 리뷰 논문입니다. 법랑질이 소실되어 상아세관이 노출되면 찬 공기(Cold air)나 찬물 같은 외부 자극이 신경으로 전달되어 통증을 유발한다는 기전을 설명합니다. 또한, 노출된 부위를 수복(Filling)하거나 밀봉(Sealing)하는 것이 통증을 즉각적으로 감소시킨다는 점을 입증하여, “겨울철 찬 바람에 시리면 때워야 한다”는 주장을 뒷받침합니다.
- 링크: https://www.sciencedirect.com/science/article/abs/pii/S030057121300093X
제목: Clinical evaluation of glass ionomer and composite resin restorations in non-carious cervical lesions: A 2-year study
- 저널: European Journal of Dentistry (2011)
- 내용: 치경부 마모증 환자를 대상으로 레진(Composite Resin)과 GI(Glass Ionomer)로 치료한 후 2년간의 예후를 비교한 임상 연구입니다. 연구 결과, 레진이 심미성과 유지력(탈락률 낮음) 면에서 더 우수하지만, GI 역시 잇몸 주변에서의 생체 친화성과 비용 효율성이 있음을 보여줍니다.
- 링크: https://www.ncbi.nlm.nih.gov/pmc/articles/PMC3075990/
“치과 관련 학회 웹사이트” 및 참조 자료
“온라인 학술 데이터베이스”
- PubMed: https://pubmed.ncbi.nlm.nih.gov/
- Google Scholar: https://scholar.google.com/
드림연합치과 오시는 길 안내
울산광역시 남구 삼산로 344, 드림연합빌딩
울산 임플란트 치과 상담신청 | 드림연합치과
울산 임플란트, 울산 치과의 모든 것 만나러 가기! 👇










