상악동 거상술 | 고난이도 울산 임플란트
풍부한 경험과 첨단 기술로 상악동 거상술을 진행합니다.
울산 임플란트 고난이도 수술 상악동 거상술, 뼈 부족 걱정 없이 임플란트 가능합니다.
<MBC 교양 프로그램 – 건강배송센터 | 드림연합치과 통합치의학과 전문의 변성훈 대표원장>
상악동 거상술에 대한 인터뷰
해당 변성훈 원장님의 인터뷰에는 아래와 같은 내용이 담겨 있습니다.
Chapter #1. 상악동은 무엇이고, 상악동거상술이란?
Chapter #2. 상악동거상술이 필요한 구체적인 상황?
Chapter #3. 상악동거상술 시술 과정?
Chapter #4. 상악동거상술이 불가한 경우?
Chapter #5. 상악동거상술 이후, 주의해야 할 사항?
상악동 거상술 환자 실제 사례


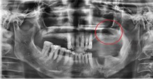
부비동은 윗턱 위에 위치한 빈 공간으로, 일부 치아 뿌리가 여기까지 닿습니다. 치아를 발치한 후 남은 뼈가 얇아지면 임플란트를 안정적으로 심기 어려울 수 있습니다.


상악동 거상술로 인해 뼈를 식립하고 뼈의 두께가 (흰색 부분) 한층 두꺼워진 것을 확인할 수 있습니다. 이 후 충분한 검사 후 임플란트를 진행했습니다.
상악동 거상술 임플란트란?
상악동 거상술은 윗턱 어금니 부위에 임플란트를 식립할 때 뼈의 양이 부족한 경우, 상악동 (위턱뼈 속 공간) 바닥을 들어 올리고 그 공간에 인공 뼈를 이식하여 뼈의 두께를 증가시키는 수술입니다.
<MBC 교양 프로그램 – 건강배송센터 | 드림연합치과 이상림 대표원장>
상악동 거상술, 치조골의 모든 것
해당 이상림 원장님의 인터뷰에는 아래와 같은 내용이 담겨 있습니다.
1. 상악동 거상술의 목적
윗턱 어금니 부위에 임플란트를 식립할 수 있는 뼈의 높이를 확보하는 것
2. 상악동 거상술의 대상
윗턱 어금니 부위 잇몸뼈 높이가 부족한 경우
3. 상악동 거상술 방법
상악동이라는 공간에 뼈 이식재를 채워 넣는 방식
1초 만에 알아보는 상악동 거상술 임플란트

왼쪽같이 충분한 뼈가 마련히 되어있어야 임플란트가 단단히 잡혀있습니다. 만약 오른쪽에 심으면 바로 빠지거나 더 큰 문제가 발생 할 수 있습니다.

뼈 이식 없이 심으면 오른쪽처럼 될 것입니다. 식립 자체가 불가능합니다.
상악동 거상술 임플란트 시술 방법
한눈에 보는 상악동 거상술 임플란트

1.상악동을 들어올립니다.

2. 뼈 이식재를 식립하여 뼈 두께를 증가시킵니다.

3. 정기적 확인 후 임플란트를 식립합니다.
임플란트 – 상악동 거상술 술식 방법
윗니 뼈는 해부학적으로 아래턱뼈보다 얇고, 상악동이라는 빈 공간이 존재하기 때문에 임플란트를 지지할 만큼 뼈의 양이 부족한 경우가 많습니다.
특히, 치아를 오랫동안 상실한 경우 잇몸 뼈가 흡수되어 더욱 뼈의 양이 부족해질 수 있습니다.
상악동 거상술은 이러한 뼈 부족 문제를 해결하여 안전하고 성공적인 임플란트 식립을 가능하게 하는 효과적인 방법입니다.
드림연합치과 상악동 거상술 임플란트
수술 진행 방식
각 환자의 구강 상태, 잔존 골량, 전신 건강 상태 등을 종합적으로 고려하여 환자 1:1 맞춤형 골이식 방법을 선택합니다.
치주과 전문의, 보철과 전문의, 통합치의학과 전문의를 포함 총 5인의 정확한 진단과 맞춤 치료 계획을 위해 3D CT 촬영을 필수적으로 실시하여 안전하게 진행합니다.
어떤 경우 골이식이 필요할까요?
고난이도 임플란트,
골이식에 사용되는 다양한 재료
골이식에 사용되는 다양한 재료
상악동 거상술 뼈 이식 재료의 종류와 특징
드림연합치과에서는 환자의 상태와 필요에 따라 다양한 골 이식 재료를 사용합니다. 각 재료의 특징을 소개해 드립니다.


01. 자가골 (Autogenous bone graft)
- 환자 본인의 구강 내 또는 다른 부위에서 채취
- 장점 : 부작용 적고 치유 속도 빠름
- 단점 : 채취량 제한으로 적용 케이스 제한적
02. 동종골 (Allograft)
타인의 골을 원료로 사용
- 장점: 신생골 형성 우수, 치조골과 유사
- 단점: 질병 전염 가능성, 거부 반응 발생 가능
03. 이종골 (Xenograft)
주로 소, 말, 돼지 등 동물의 뼈에서 추출
- 장점: 높은 골 전도성, 안정적 흡수 속도
- 단점: 면역 반응 가능성, 골형성 속도 느림
04. 합성골 (Synthetic bone graft substitutes)
치아와 뼈의 주요 구성성분을 합성
- 장점: 저렴한 가격, 쉬운 확보, 볼륨 유지 우수, 거부 반응 적음
- 단점: 골 대체 속도 느림, 골질 다소 떨어짐
상악동 거상술 종류 및 상악동 수술
드림연합치과에서는 환자의 상태와 필요에 따라 다양한 골 이식 재료를 사용합니다. 각 재료의 특징을 소개해 드립니다.
측방접근법 (Lateral Approach)
- 상악동 외측 벽에 작은 창(window)을 형성하여 직접 접근
- 상악동 막을 들어올리고 골이식재를 넣을 수 있는 충분한 공간 확보 가능
- 7mm 이하의 잔존골이 있을 때 주로 선택하며, 많은 양의 골이식이 필요할 때 적합
치조정접근법 (Crestal Approach)
- 임플란트를 식립할 부위의 치조정을 통해 위쪽으로 접근
- 특수 기구(osteotome)를 이용해 상악동 바닥을 조심스럽게 들어올림
- 잔존골 높이가 6mm 이상이고, 3-4mm 정도의 거상만 필요할 때 주로 선택
측방접근법 (Lateral Approach) 수술 영상
치조정접근법 (Crestal Approach) 수술 영상
체계적인 임플란트 사후 관리까지
드림연합치과의 환자 중심 철학은 임플란트 시술 후 체계적인 사후 관리에서도 뚜렷이 나타납니다.
우리는 각 환자의 구강 상태, 시술 범위, 회복 속도를 고려한 맞춤형 사후 관리 프로토콜을 적용합니다.
이를 통해 환자 개개인에 맞춘 관리 일정과 방법을 제공하여 임플란트의 장기적 안정성과 기능성을 극대화 하는데 노력합니다.
이러한 정밀한 접근 방식은 합병증 위험을 감소시키면서, 환자의 만족도를 높입니다.
정기적인 검진, 전문적인 세정, 그리고 맞춤형 관리 교육을 통해 임플란트의 수명을 연장하고 환자의 구강 건강을 종합적으로 관리합니다.
상악동 거상술 임플란트 궁금증 해결 FAQ
골이식 임플란트 기본 정보
Q. 상악동 거상술 통증은 어떤가요? 많이 아픈가요?
A. 수술 중에는 마취를 하기 때문에 통증을 느끼지 못합니다. 수술 후에는 약간의 통증과 붓기가 있을 수 있지만, 처방된 약을 복용하면서 충분히 관리 가능합니다.
Q. 상악동 거상술 후 회복 기간은 얼마나 걸리나요?
A. 개인에 따라 다르지만, 일반적으로 12주 정도면 일상생활이 가능합니다. 뼈 이식이 완전히 안정되는 데까지는 36개월 정도 소요될 수 있습니다.
Q. 상악동 거상술은 위험한 수술인가요?
A. 상악동 거상술은 숙련된 전문의에게 받으면 안전한 수술입니다. 드림연합치과는 치주과 전문의, 통합치의학과 전문의, 보철과 전문의를 포함한 5명의 전문의가 풍부한 임상 경험과 첨단 장비를 바탕으로 안전한 상악동 거상술을 시행합니다.
Q. 상악동 거상술 비용은 얼마인가요?
A. 수술 범위, 뼈 이식 재료, 마취 방법 등에 따라 비용이 달라질 수 있습니다. 드림연합치과는 정확한 진단 후 환자에게 투명하게 비용을 설명해 드립니다.
Q. 상악동 거상술 후 주의사항은 무엇인가요?
A. 수술 후 처방된 약을 꼭 복용하고, 코를 세게 풀거나 재채기를 참는 행위는 피해야 합니다. 흡연, 음주, 격렬한 운동도 삼가는 것이 좋습니다.
Q. 상악동 거상술은 꼭 해야 하나요? 다른 방법은 없나요?
A. 뼈 부족이 심하지 않은 경우, 뼈 이식 없이 짧은 임플란트를 식립하거나, 다른 부위의 뼈를 이식하는 방법도 고려할 수 있습니다. 하지만, 상악동 거상술은 오랫동안 안정적이고 효과적인 방법으로 알려져 있습니다.
Q. 상악동 거상술의 골이식 임플란트가 필요한 경우는 언제인가요?
A. 치아 상실 후 오랜 시간이 지나 턱뼈가 흡수된 경우, 치주질환으로 인해 뼈가 소실된 경우, 또는 외상으로 인해 턱뼈가 손상된 경우 등에 필요합니다. 정확한 진단은 3D CT 촬영을 통해 가능합니다.
Q. 상악동 거상술의 골이식 재료 중 가장 좋은 것은 무엇인가요?
A. 각 재료마다 장단점이 있어 ‘가장 좋은’ 재료는 없습니다. 자가골은 치유력이 뛰어나지만 채취량에 제한이 있고, 동종골과 이종골은 충분한 양을 얻을 수 있지만 치유 속도가 다소 느립니다. 환자의 상태와 필요에 따라 가장 적합한 재료를 선택합니다.
Q. 상악동 거상술의 뼈 이식 후 임플란트를 식립하기까지 얼마나 걸리나요?
A. 일반적으로 3-6개월의 치유 기간이 필요합니다. 그러나 이는 골이식의 양, 위치, 환자의 치유 능력 등에 따라 달라질 수 있습니다. 경우에 따라 골이식과 임플란트 식립을 동시에 진행할 수도 있습니다.
Q. 상악동 거상술 임플란트는 안정적인가요?
A. 적절한 진단과 수술하는 치과의사의 풍부한 시술 경험, 그리고 환자의 관리가 잘 이루어져야 합니다. 그러나 흡연, Poor Oral Hygiene, 전신질환 등은 위험을 높일 수 있습니다. 정기적인 체크업과 올바른 구강 관리가 중요합니다.
Q. 상악동 거상술의 골이식에는 어떤 종류의 뼈를 사용하나요?
A. 자가골, 동종골, 이종골, 합성골 등 다양한 종류의 골이식재를 사용할 수 있습니다. 각 재료의 장단점과 환자의 상태를 고려하여 가장 적합한 재료를 선택합니다.
Q. 상악동 거상술의 골이식 후 임플란트 시술까지 얼마나 걸리나요?
A. 보통 3-6개월의 회복 기간이 필요합니다. 그러나 환자의 상태와 골이식의 양에 따라 이 기간은 달라질 수 있습니다. 정확한 시기는 정기적인 검진을 통해 결정됩니다.













