잇몸이식술
잇몸이식술은 퇴축된 잇몸을 회복시켜 치아 건강과 심미성을 개선하는 효과적인 치료법입니다.
드림연합치과에서는 치주과 전문의의 풍부한 임상 경험을 바탕으로 잇몸 이식술을 제공합니다.


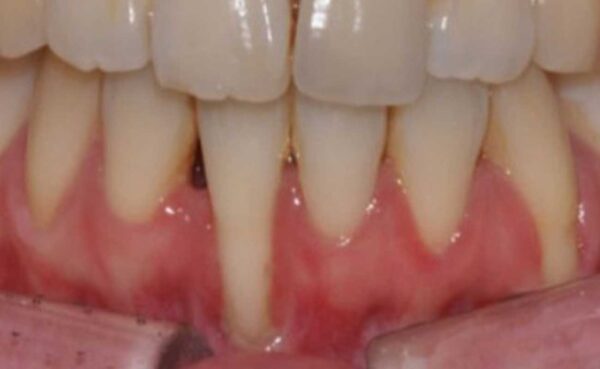
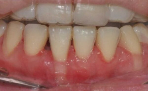
#자연치아 살리기 잇몸이식술 환자 사례 : 성공적인 치근단절제술 사례 전후
잇몸 이식술이란?
잇몸이식술은 환자 본인의 건강한 잇몸 조직을 채취하여 퇴축된 잇몸 부위에 이식하는 수술입니다.
이 과정을 통해 노출된 치아 뿌리를 보호하고, 자연스러운 잇몸 라인을 회복하여 치아 건강과 미소의 아름다움을 동시에 개선합니다.
자연치아보존을 위한 잇몸과 잇몸이식술, 잇몸 성형에 대해 드림연합치과 이신화 대표 원장이 소개합니다.
잇몸이식술의 3가지 핵심 장점
잇몸이식술은 퇴축된 잇몸을 복원하여 치아 건강을 개선하고, 과민증을 해소하며, 심미적인 미소를 회복합니다.
자연치아를 보존하고 장기적인 구강 건강을 유지하는 데 효과적이며, 환자의 삶의 질을 크게 향상시킵니다.
치아 보호와 수명 연장
노출된 치근 보호, 충치 예방치아 보호와 수명 연장
“잇몸이식술은 퇴축된 잇몸을 복원하여 노출된 치아 뿌리를 효과적으로 보호합니다. 이는 치근 부위의 충치 발생 위험을 크게 줄이고, 치아의 안정성을 높여 수명을 연장시킵니다. 또한 치아 주변 뼈의 손실을 예방하여 장기적인 구강 건강 유지에 도움을 줍니다.”
과민증 해소
온도 및 촉각 민감성 감소, 편안한 식사과민증 해소
“노출된 치근으로 인한 과민증은 일상생활에 큰 불편을 초래합니다. 잇몸이식술은 이러한 노출된 부위를 건강한 잇몸 조직으로 덮어 과민증을 효과적으로 해소합니다. 찬 음식, 뜨거운 음식, 산성 음료 등에 대한 민감성이 크게 줄어들어 편안한 식사와 음료 섭취가 가능해집니다.”
심미성 향상
자연스러운 잇몸 라인 회복, 자신감 증진심미성 향상
“잇몸 퇴축은 치아가 길어 보이게 하여 미소의 아름다움을 해칩니다. 잇몸이식술은 자연스러운 잇몸 라인을 회복하여 치아의 비율을 개선하고, 균형 잡힌 미소를 되찾아줍니다. 이는 환자의 외모에 대한 자신감을 높이고, 사회생활과 대인관계에 긍정적인 영향을 미칩니다.”
잇몸이식술 적용 및 제한사항
잇몸이식술이 필요한 경우
심각한 잇몸 퇴축
과도한 칫솔질로 인한 손상
치아교정 후 잇몸 문제
심미적 개선 필요
잇몸이식술이 불가능한 경우
드림연합치과 전체 잇몸이식술 과정
잇몸이식술은 입천장에서 건강한 조직을 채취해 퇴축된 부위에 이식하는 과정입니다.
드림연합치과에서는 치주과 전문의가 정밀 진단 후 조직 채취, 이식, 봉합을 거치며 약 1-2시간 소요됩니다.
시술 후 1-2주 뒤 봉합사를 제거하고, 완전한 회복까지 1-2개월이 필요합니다.
한 눈에 보는 잇몸이식술
주의사항
환자 상태에 따라 치료 계획 및 기간이 달라질 수 있습니다. 환자 건강 상태, 전신질환, 생활 습관 등 다양한 요인에 따라 개별 맞춤형 진료가 필요하므로, 정확한 상담과 정밀 검진을 위해 반드시 내원하셔서 상담받으시기 바랍니다.
드림연합치과 잇몸이식술
특장점
드림연합치과의 잇몸이식술은 첨단 의료 기기와 많은 임상 경험을 바탕으로 신뢰할 수 있는 치료를 제공합니다.
정밀한 진단, 미세 수술 기법, 개인 맞춤형 접근으로 체계적인 치료를 진행합니다.
또한, 전문의 협진 시스템을 통해 종합적인 구강 건강 관리를 제공합니다.
우리의 환자 중심 진료 철학을 통한, 자연치아 보존 수술을 진행합니다.
첨단 3D CT 활용 : 정밀한 진단과 시술 계획 수립
전문의 협진 시스템 : 전문의 유기적 협력
미세 현미경 사용 : 고배율 시야로 정교한 시술 가능
잇몸이식술 자주 묻는 질문 FAQ
잇몸이식술 기본 정보
Q. 잇몸이식술은 통증이 심한가요
A. 국소마취 하에 진행되어 시술 중 통증은 거의 없습니다. 시술 후 약간의 불편함이 있을 수 있으나, 대부분 1주일 이내에 일상생활로 복귀 가능합니다.
Q. 잇몸이식술이 잇몸 성형인가요?
A. 잇몸이식술과 잇몸성형은 서로 다른 개념입니다. 잇몸이식술은 치아를 보호하고 건강한 치주 조직을 회복하기 위해 손상되거나 퇴축된 잇몸을 이식하는 치료입니다. 주로 치주질환이나 잇몸 퇴축으로 인해 필요한 경우가 많습니다. 반면에 잇몸성형은 미적인 목적으로 잇몸의 형태를 개선하거나 조정하는 시술로, 웃을 때 잇몸이 많이 보이는 ‘거미스마일’을 교정하거나 비대칭적인 잇몸을 다듬을 때 사용됩니다.
Q. 공여 부위(잇몸을 떼어낸 곳)는 어떻게 되나요?
A. 공여 부위는 보통 2-3주 내에 완전히 치유됩니다. 치유 과정에서 약간의 불편함이 있을 수 있으나, 장기적으로 문제가 되지 않습니다.
Q. 잇몸이식술 후 특별한 관리가 필요한가요?
A. 시술 후 1-2주간은 부드러운 음식 섭취, 조심스러운 칫솔질 등이 필요합니다. 이후에는 일반적인 구강 위생 관리로 충분합니다.
Q. 잇몸이식술은 누구나 받을 수 있나요?
A. 대부분의 경우 가능하지만, 심각한 전신질환이 있거나 흡연자의 경우 주의가 필요합니다. 정확한 적합성은 전문의 상담을 통해 판단됩니다.














