[울산 치과] 스트레스 받으면 정말 이가 빠질까? (치아 건강과 스트레스의 관계)

“요즘 스트레스가 심해서 그런지 이가 흔들리는 것 같아요.” “드라마처럼 충격받으면 정말 이가 빠질 수도 있나요?” 스트레스가 만병의 근원이라는 말, 과연 치아 건강에도 해당될까요? 울산 드림연합치과에서 스트레스와 치아 빠짐의 알려지지 않은 관계, 그리고 스트레스로부터 당신의 치아를 지키는 방법에 대해 과학적으로 설명해 드립니다.

목차 안내

안녕하세요. 울산 드림연합치과입니다. 최근 법무부 장관의 기사로 잠깐 들썩였던 주제입니다. 우리는 흔히 극심한 정신적 고통을 겪을 때 ‘이가 갈린다’거나 ‘이가 떨린다’는 표현을 씁니다. 그만큼 스트레스와 구강 건강은 밀접한 관련이 있다고 느끼기 때문입니다.

실제로 많은 환자분들이 스트레스가 심할 때 잇몸이 붓거나 치아가 흔들리는 증상을 호소하며 내원하십니다. 과연 스트레스가 직접적으로 치아를 빠지게 할 수 있을까요?

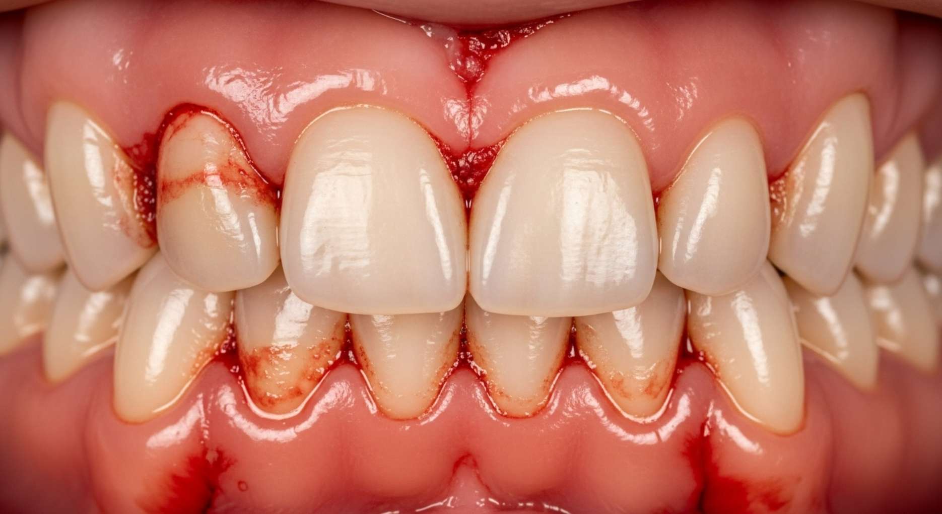
스트레스 받아 이빨을 깨물다보니 피가나는 남성 사진

<참조 이미지>

1. 결론부터: 스트레스가 ‘직접’ 치아를 빠지게 하지는 않습니다.

드라마나 영화에서처럼 충격적인 소식을 듣는 순간 건강하던 치아가 ‘툭’하고 빠지는 일은 현실에서는 일어나지 않습니다. 치아는 잇몸뼈(치조골)에 매우 단단하게 박혀있기 때문에, 정신적인 스트레스가 물리적으로 치아를 밀어내거나 뽑아낼 수는 없습니다.

치아를 자주 꺠물다보니 잇몸병이 생긴 치아 사진

<부모님은 치열이 고른데 자녀만 삐뚤어지는 경우도 많으므로, 유전이 모든 것을 결정하는 것은 아닙니다>

2. 하지만, 스트레스는 치아를 빠지게 만드는 ‘결정적인 조력자’입니다.

스트레스는 직접적인 원인은 아니지만, 치아를 빠지게 만드는 주된 원인인 ‘잇몸 질환(치주염)’을 급격히 악화시키는 매우 강력한 촉매제 역할을 합니다. 즉, 스트레스는 잇몸병이라는 불에 기름을 붓는 것과 같습니다.

[스트레스 → 잇몸 질환 악화 → 치아 빠짐] 의 메커니즘은 다음과 같습니다.

1단계: 면역력 저하

  • 스트레스를 받으면 우리 몸에서는 ‘코르티솔(Cortisol)’이라는 스트레스 호르몬이 분비됩니다. 이 코르티솔은 우리 몸의 면역 체계를 억제하는 역할을 합니다.
  • 면역력이 떨어지면, 평소에는 우리 몸이 어느 정도 방어해내던 잇몸 속 세균(치주 원인균)의 공격에 매우 취약해집니다.

2단계: 염증 반응 증폭

  • 면역력이 약해진 상태에서 세균이 공격하면, 우리 몸은 이를 막기 위해 과도한 염증 반응을 일으킵니다. 스트레스는 이러한 염증 반응을 더욱 증폭시켜, 잇몸이 더 심하게 붓고, 피가 나고, 쉽게 손상되도록 만듭니다.

3단계: 잇몸뼈 파괴 가속

  • 만성적인 스트레스와 증폭된 염증 반응은 치아를 지지하는 잇몸뼈(치조골)를 녹이는 과정을 가속화합니다. 건강할 때보다 훨씬 빠른 속도로 잇몸뼈가 파괴됩니다.

4단계: 치아 흔들림 및 탈락

  • 결국 지지 기반인 잇몸뼈를 잃은 치아는 심하게 흔들리다가 작은 충격에도 빠지게 되는 것입니다.
스트레스를 받고있는 중년남성

<참조 사진>

3. 스트레스가 부르는 또 다른 구강 파괴범: ‘이갈이 & 이 악물기’

스트레스는 잇몸 질환 외에도, 치아에 직접적인 물리적 손상을 가하는 나쁜 습관을 유발합니다.

  • 이갈이(Bruxism) / 이 악물기(Clenching) : 많은 사람들이 스트레스를 받을 때, 특히 잠을 잘 때 무의식적으로 이를 갈거나 꽉 깨뭅니다.
  • 과도한 교합력: 이때 치아에 가해지는 힘은 음식을 씹을 때보다 5~10배 이상 강력합니다.
  • 결과
스트레스 해소방법

4. 스트레스로부터 내 치아를 지키는 방법

스트레스 사회를 살아가는 현대인에게, 스트레스로부터 치아를 지키기 위한 노력은 필수적입니다.

1단계: 스트레스 관리 (근본적인 노력)

  • 적절한 운동, 취미 생활, 명상, 충분한 수면 등을 통해 스트레스를 해소하는 자신만의 방법을 찾는 것이 중요합니다.

2단계: 구강 위생 관리 강화 (방어력 증강)

  • 스트레스로 면역력이 떨어질수록, 잇몸병의 원인인 치태와 세균을 더욱 철저하게 제거해야 합니다.

  • 올바른 칫솔질과 함께 치실, 치간칫솔 사용을 절대 거르지 마세요

3단계: 정기적인 치과 검진 및 스케일링 (전문가의 도움)

  • 가장 중요합니다! 스트레스가 심한 시기일수록 치과 검진 주기를 더 짧게(예: 3~6개월) 잡는 것이 좋습니다.

  • 정기적인 스케일링으로 세균의 기반인 치석을 제거하고, 나도 모르게 진행되고 있는 잇몸 질환을 조기에 발견하여 치료해야 합니다

4단계: 이갈이 방지 장치 (스플린트) 착용

  • 이갈이나 이 악물기 습관이 있다면, 교합안정장치(스플린트)를 착용하여 치아와 턱관절에 가해지는 파괴적인 힘을 분산시키고 보호해야 합니다.
자연 치아의 구조와 보호하라는 일러스트 이미지

5. 드림연합치과의 스트레스성 구강질환 관리 시스템

울산 드림연합치과는 스트레스가 구강 건강에 미치는 심각성을 인지하고, 이를 관리하기 위한 체계적인 시스템을 갖추고 있습니다.

  • 정밀 진단: 3D-CT, 교합 분석 등을 통해 스트레스로 인한 잇몸뼈 손상 정도나 치아 균열 등을 정밀하게 진단합니다.
  • 분야별 전문가 협진 : 충치, 잇몸, 보철, 교정 등 드림연합치과의 풍부한 경험을 갖고 있는 의료진의 협진 시스템은 각 구조물의 문제를 가장 전문적으로 해결하기 위해 존재합니다.
  • 예방 중심의 관리 프로그램: 환자의 스트레스 수준과 구강 상태에 맞춰 정기 검진 주기를 조절하고, 맞춤형 구강 위생 교육을 통해 방어력을 높일 수 있도록 돕습니다
환자와 상담하고 있는 변성훈 원장

6. 스트레스와 치아, 이것이 궁금해요! (FAQ)

Q1: 스트레스 때문에 갑자기 잇몸이 퉁퉁 부었어요. 어떻게 하죠?

A: 스트레스로 면역력이 급격히 떨어져 발생하는 급성 잇몸 염증일 수 있습니다. 충분한 휴식을 취하고, 부드러운 칫솔로 조심스럽게 양치질하며, 빠른 시일 내에 치과에 방문하여 스케일링이나 소독 치료를 받는 것이 좋습니다. 반드시 치과에 내원하셔서 전문가와 상담 받으시기 바랍니다.

Q2: 이갈이가 심한데, 스트레스 때문일까요?

A: 네, 스트레스는 이갈이의 가장 큰 원인 중 하나입니다. 낮 동안 쌓인 스트레스와 긴장이 수면 중 턱 근육의 비정상적인 활동으로 나타나는 경우가 많습니다. 반드시 치과에 내원하셔서 전문가와 상담 받으시기 바랍니다.

Q3: 스트레스 받으면 입이 마르는데, 이것도 치아에 안 좋은가요?

A: 네, 매우 안 좋습니다. 스트레스는 침 분비를 감소시켜 구강건조증을 유발할 수 있습니다. 침은 세균 증식을 억제하고 치아를 보호하는 중요한 역할을 하므로, 입이 마르면 충치와 잇몸병 위험이 급격히 증가합니다. 반드시 치과에 내원하셔서 전문가와 상담 받으시기 바랍니다.

Q4: 치아가 빠질 정도로 잇몸이 안 좋아졌으면, 치료가 너무 늦은 건가요?

A: 아닙니다. 더 이상 치아를 잃지 않도록, 남아있는 치아라도 지키기 위한 적극적인 잇몸치료를 시작해야 합니다. 포기하지 말고 치과를 방문하세요. 더 늦기 전에 치과에 내원하셔서 전문가와 상담 받으시기 바랍니다.

Q5: 스트레스 해소가 치과 치료에도 도움이 되나요?

A: 물론입니다. 스트레스 관리를 통해 면역력이 회복되면, 잇몸치료나 임플란트 수술 후 상처가 더 빨리 아물고 치료 예후도 좋아집니다. 사람마다 회복속도는 다를 수 있습니다.

7. 마무리

스트레스가 직접 치아를 빠지게 하지는 않지만, 우리의 방어력을 무너뜨리고 구강 내 문제들을 걷잡을 수 없이 악화시키는 ‘보이지 않는 적’입니다. 바쁜 일상 속 스트레스를 피할 수 없다면, 그럴수록 더욱 철저한 구강 관리와 정기적인 치과 검진으로 소중한 치아를 지키기 위한 노력이 필요합니다.

울산 드림연합치과는 여러분의 구강 건강뿐만 아니라, 스트레스로 지친 여러분의 마음까지 헤아리는 든든한 건강 파트너가 되겠습니다.

본 포스팅은 의료 정보 제공을 목적으로 작성되었으며, 특정 치료법을 권장하거나 진단을 내리는 것이 아닙니다. 실제 치료는 반드시 전문 의료진과 상담 후 결정해야 합니다. 한국 의료법에 위배되지 않도록 최대한 정확하고 객관적인 정보만을 제공하려 노력했습니다.

울산치과 드림연합치과 전경

본 포스팅은 정보 제공 목적으로 작성되었으며, 특정 질병의 진단 또는 치료를 대체할 수 없습니다. 치과 치료와 관련된 모든 결정은 반드시 의료진과 상담 후 결정하시기 바랍니다.

  • 📞 빠른 문의 : 052-260-8275

  • 📍 위치 : 울산광역시 남구 삼산로 344, 드림연합빌딩

관련 유튜브 참조 영상

“참고 문서”

  • 제목 : Effort–reward imbalance at work and tooth loss: a cross-sectional study

  • 저널: Industrial Health (2019)
  • 내용 : 일본 근로자 1,195명을 대상으로 직무 스트레스(노력–보상 불균형, ERI)와 치아 상실의 연관성을 분석. ERI가 높을수록 치아 상실 위험이 유의하게 증가했으며, 흡연·구강위생 등 생활습관을 보정한 뒤에도 연관성이 유지되었습니다. 즉, 직무 스트레스가 치아를 잃을 위험요인일 수 있음을 시사합니다.
  • 크 : https://www.jstage.jst.go.jp/article/indhealth/58/1/58_2018-0226/_pdf
  • 제목 : Stress, salivary cortisol and periodontitis: A systematic review and meta-analysis of observational studies
  • 저널 : Archives of Oral Biology (2018)

  • 내용 : 관찰연구들을 메타분석한 결과, 공격성 치주염 환자에서 타액 코르티솔(스트레스 지표)이 더 높았고, 스트레스-코르티솔 축이 치주 염증·조직 파괴 악화에 관여할 수 있음을 제시. 치주병은 치아 상실의 주요 원인이므로, 만성 스트레스 → 치주 악화 → 치아 상실 위험 증가의 생물학적 경로를 뒷받침합니다.
  • 링크 : https://www.sciencedirect.com/science/article/abs/pii/S0003996918305375
  • 제목 : Depression, anxiety and stress-related disorders and risk for dental caries and periodontitis: a Mendelian randomization study
  • 저널 : Journal of Affective Disorders (2024)
  • 내용 : 유전도구를 이용한 **멘델 무작위화(MR)**로 우울·불안·스트레스 관련 장애와 치아우식·치주염의 양방향 인과관계 가능성을 평가. 일부 분석에서 정신건강 장애가 치주염/우식 위험을 증가시키는 인과적 신호가 관찰되었습니다. 이는 스트레스성 정신건강 문제 관리가 치주병(→ 치아 상실) 예방에도 중요할 수 있음을 시사합니다.
  • 링크 : https://www.sciencedirect.com/science/article/abs/pii/S0165032724009467

“치과 관련 학회 웹사이트” 및 참조 자료

“온라인 학술 데이터베이스”


울산 치과의 만족도는 환자의 리뷰를 바탕으로 한 높은 신뢰성 ⭐⭐⭐⭐⭐

환자의 신뢰를 바탕으로 한 높은 만족도 울산 지역에서 4.9점의 환자 만족도를 기록하고 있는 드림연합치과는 환자들에게 신뢰를 얻고 있습니다. 이를 가능하게 한 것은 환자의 입장에서 진정성 있는 진료를 제공하고, 과잉 진료 없이 환자 개개인의 상황에 맞는 치료를 권하는 철학 덕분입니다.
환자의 신뢰를 바탕으로 한 높은 만족도 울산 지역에서 4.9점의 환자 만족도를 기록하고 있는 드림연합치과는 환자들에게 신뢰를 얻고 있습니다. 이를 가능하게 한 것은 환자의 입장에서 진정성 있는 진료를 제공하고, 과잉 진료 없이 환자 개개인의 상황에 맞는 치료를 권하는 철학 덕분입니다.
환자의 신뢰를 바탕으로 한 높은 만족도 울산 지역에서 4.9점의 환자 만족도를 기록하고 있는 드림연합치과는 환자들에게 신뢰를 얻고 있습니다. 이를 가능하게 한 것은 환자의 입장에서 진정성 있는 진료를 제공하고, 과잉 진료 없이 환자 개개인의 상황에 맞는 치료를 권하는 철학 덕분입니다.

울산 남구 삼산로 지역에서 4.9점⭐⭐⭐⭐⭐(구글 기준, 2024.09.10) 네이버 445개의 리뷰, 4.84점⭐⭐⭐⭐⭐(네이버 스마트 플레이스 영수증 리뷰 기준)의 환자 만족도를 기록하고 있는 드림연합치과는 울산 시민, 환자들에게 신뢰를 얻고 있습니다.

이를 가능하게 하는 것은 환자의 입장에서 진정성 있는 진료를 제공하고, 과잉 진료 없이 환자 개개인의 상황에 맞는 치료를 권하는 환자 중심의 울산 드림연합치과의 진료 철학을 철저히 지키고 있는 드림연합치과의 모든 임직원과 전문 의료진 분들의 노력이 있기 때문입니다.

울산 치과의 만족도는 환자의 리뷰를 바탕으로 한 높은 신뢰성 ⭐⭐⭐⭐⭐

환자의 신뢰를 바탕으로 한 높은 만족도 울산 지역에서 4.9점의 환자 만족도를 기록하고 있는 드림연합치과는 환자들에게 신뢰를 얻고 있습니다. 이를 가능하게 한 것은 환자의 입장에서 진정성 있는 진료를 제공하고, 과잉 진료 없이 환자 개개인의 상황에 맞는 치료를 권하는 철학 덕분입니다.
환자의 신뢰를 바탕으로 한 높은 만족도 울산 지역에서 4.9점의 환자 만족도를 기록하고 있는 드림연합치과는 환자들에게 신뢰를 얻고 있습니다. 이를 가능하게 한 것은 환자의 입장에서 진정성 있는 진료를 제공하고, 과잉 진료 없이 환자 개개인의 상황에 맞는 치료를 권하는 철학 덕분입니다.
환자의 신뢰를 바탕으로 한 높은 만족도 울산 지역에서 4.9점의 환자 만족도를 기록하고 있는 드림연합치과는 환자들에게 신뢰를 얻고 있습니다. 이를 가능하게 한 것은 환자의 입장에서 진정성 있는 진료를 제공하고, 과잉 진료 없이 환자 개개인의 상황에 맞는 치료를 권하는 철학 덕분입니다.

울산 삼산동 치과 환자 512명 대상 만족도 4.89점 (구글 4.9점/ 네이버 4.84점)

병원은 아픈곳을 치료하는 곳 입니다. 드림연합치과는 과잉 진료없이 환자의 아픈 곳만을 치료하는 진료 철학을 철저히 지키고 있습니다. 

드림연합치과 오시는 길 안내

울산광역시 남구 삼산로 344, 드림연합빌딩

울산 임플란트 치과 상담신청 | 드림연합치과

예시) '01012345678'

울산 임플란트, 울산 치과의 모든 것 만나러 가기! 👇

울산 임플란트 시술로 자연스러운 치아 복원.

울산 임플란트, 울산 치과의 모든 것 만나러 가기! 👇

울산 임플란트 시술로 자연스러운 치아 복원.

드림연합치과 네이버 예약 바로가기

드림연합치과 빠른 상담 바로가기

드림연합치과 카카오톡 문의 바로가기

드림연합치과 네이버 톡톡 바로가기

드림연합치과 인스타그램 바로가기

드림연합치과 네이버 블로그 바로가기