[울산 어린이치과] “어차피 빠질 건데…” 유치 충치 방치하면 나중에 교정비만 더 듭니다 (공간 유지 장치)
“원장님, 이 치아는 곧 빠질 젖니(유치) 아닌가요? 굳이 비싸게 치료해야 하나요?” “썩어서 아프다고 하면 그냥 미리 뽑아버리면 안될까요?
2월 봄 방학을 맞아 자녀의 손을 잡고 치과를 찾은 부모님들께서 가장 많이 하시는 질문입니다. 부모님 입장에서는 몇 년 되면 자연스럽게 빠지고 새 치아가 나올텐데, 굳이 아이를 힘들게 하면서 치료비까지 쓰는 것이 비효율적이라고 느껴지실 수 있습니다.
하지만 치과 의사 입장에서 유치 충치를 방치하거나 너무 일찍 뽑아버리는 것을 보면 ‘시한폭탄’을 안고 있는 것 같아 조마조마합니다.
유치는 단순히 밥을 먹는 도구가 아닙니다. 잇몸 속에서 자라고 있는 영구치가 나올 자리를 미리 맡아두는 ‘주차 관리 요원’입니다. 이 관리 요원이 병들거나 근무지를 이탈(조기 발치)하면 어떻게 될까요?
주변 치아들이 그 빈자리로 쓰러지면서, 정작 나와야 할 영구치는 갈 곳을 잃고 덧니가 되거나 뼈 속에 갇혀버리는 매복치가 됩니다. 즉, 지금 호미로 막을 것을 나중에 가래(수백만 원의 교정 비용)로 막아야 하는 상황이 오는 것입니다.

<참조 이미지>
목차 안내
- [울산 어린이치과] “어차피 빠질 건데…” 유치 충치 방치하면 나중에 교정비만 더 듭니다 (공간 유지 장치)
- “원장님, 이 치아는 곧 빠질 젖니(유치) 아닌가요? 굳이 비싸게 치료해야 하나요?” “썩어서 아프다고 하면 그냥 미리 뽑아버리면 안될까요?
- 2월 봄 방학을 맞아 자녀의 손을 잡고 치과를 찾은 부모님들께서 가장 많이 하시는 질문입니다. 부모님 입장에서는 몇 년 되면 자연스럽게 빠지고 새 치아가 나올텐데, 굳이 아이를 힘들게 하면서 치료비까지 쓰는 것이 비효율적이라고 느껴지실 수 있습니다.
- 하지만 치과 의사 입장에서 유치 충치를 방치하거나 너무 일찍 뽑아버리는 것을 보면 ‘시한폭탄’을 안고 있는 것 같아 조마조마합니다.
- 유치는 단순히 밥을 먹는 도구가 아닙니다. 잇몸 속에서 자라고 있는 영구치가 나올 자리를 미리 맡아두는 ‘주차 관리 요원’입니다. 이 관리 요원이 병들거나 근무지를 이탈(조기 발치)하면 어떻게 될까요?
- 주변 치아들이 그 빈자리로 쓰러지면서, 정작 나와야 할 영구치는 갈 곳을 잃고 덧니가 되거나 뼈 속에 갇혀버리는 매복치가 됩니다. 즉, 지금 호미로 막을 것을 나중에 가래(수백만 원의 교정 비용)로 막아야 하는 상황이 오는 것입니다.
- 관련 유튜브 참조 영상
- 드림연합치과 오시는 길 안내
- 울산 임플란트 치과 상담신청 | 드림연합치과
- 울산 임플란트, 울산 치과의 모든 것 만나러 가기! 👇
- 드림연합치과 사이트 메뉴 보기
- 💁♀️ 함께 보면 좋은 콘텐츠를 골라봤어요
안녕하세요. 울산 남구 삼산동에서 우리 아이들의 가지런한 치열과 건강한 성장을 연구하는 드림연합치과입니다.
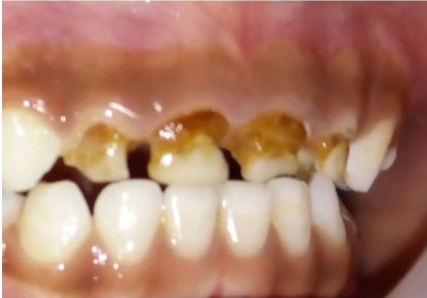
새 학기를 앞두고 아이들의 충치 치료를 위해 내원하시는 분들이 많습니다. 유치는 영구치보다 법랑질이 얇아 충치 진행 속도가 매우 빠릅니다. “나중에 치료해야지” 하고 미루다가는 순식간에 신경까지 감염되어 아이가 극심한 통증을 겪게 됩니다.
심한 경우 영구치가 나오기도 전에 유치를 뽑아야 하는데, 이때 아무런 조치 없이 방치하면 치열 전체가 무너지는 도미노 현상이 발생합니다.
오늘 울산 드림연합치과에서는 유치를 왜 끝까지 지켜야 하는지, 그리고 부득이하게 일찍 뽑았을 때 영구치 자리를 지켜주는 ‘공간 유지 장치’가 무엇인지 상세히 알려드리겠습니다.

<유튜브 영상 일부 발췌:Dentalk!-Tooth eruption cross section diagram>
1. 유치의 진짜 역할: 영구치를 위한 ‘내비게이션’
유치는 영구치가 나오기 전까지 아이의 저작(씹기), 발음, 턱 성장을 돕는 기본적인 기능 외에 아주 중요한 임무를 수행합니다.
바로 영구치가 나와야 할 길을 안내하는 ‘가이드’ 역할입니다. 영구치는 유치 뿌리를 따라 길을 잡고 올라옵니다. 유치가 건강하게 제 자리를 지키고 있어야 영구치도 제 위치에 바르게 나올 수 있습니다.

<유튜브 영상 일부 발췌:TaughtWell SimplifyEd-EARLY CHILDHOOD CARIES | Types of ECC | Prevention Levels, Management | ECC vs RAMPANT CARIES>
2. 충치 방치 & 조기 발치의 무서운 나비효과
만약 충치가 심해 뿌리 끝에 고름이 생기면, 그 아래에 있는 영구치 씨앗(치배)의 색깔이나 모양을 변형시킬 수 있습니다.
더 큰 문제는 유치를 너무 일찍 뽑았을 때(조기 상실)입니다.
- 공간 상실: 치아는 빈 공간으로 이동하려는 성질이 있습니다. 유치 어금니가 빠지면 뒤에 있는 치아들이 앞으로 쓰러집니다.
- 영구치 매복/덧니: 영구치가 나올 공간이 좁아지거나 아예 사라져 버립니다. 결국 엉뚱한 곳으로 뚫고 나오거나(덧니), 아예 나오지 못하고 뼈 속에 갇히게(매복) 됩니다.
- 결과: 나중에 전체 치아 교정 치료가 필요해지며, 비용과 시간이 몇 배로 듭니다.

<유튜브 영상 일부 발췌:Dentalk!-Baby teeth and the use of space maintainers ©>
3. 영구치 자리를 지키는 수문장, ‘공간 유지 장치’란?
충치가 너무 심해 어쩔 수 없이 유치를 일찍 뽑아야 한다면? 이때 필요한 것이 바로 ‘공간 유지 장치(Space Maintainer)’입니다.
- 원리: 치아가 빠진 빈 공간으로 옆 치아가 쓰러지지 않도록 버팀목(Lopp)를 설치하여 영구치가 나올 자리를 확보해 둡니다.
- 종류:
- 밴드 앤 루프 (Band & Loop): 한쪽 어금니가 빠졌을 때 가장 많이 사용합니다.
- 링구얼 아치 (Lingual Arch): 양쪽 어금니가 빠졌을 때 전체적인 공간을 유지합니다.
- 효과: 나중에 발생할 수 있는 복잡한 교정 치료를 예방해 주는, 가장 경제적이고 효과적인 ‘예방 교정’입니다.


<유튜브 영상 일부 발췌:Optimal Kids Dental-Zirconia vs Stainless Steel Crowns for Kids: What Parents Need to Know>
4. 치료 방법: 레진 vs 크라운 (은니/지르코니아)
유치 충치 치료는 영구치와 재료 선택 기준이 조금 다릅니다.
- 레진 (치아색): 충치 범위가 작을 때 사용합니다. 심미적이지만 강도가 약해 탈락할 수 있습니다.
- SS 크라운 (은니): 충치가 넓거나 신경치료를 했을 때 씌우는 기성품 금속관입니다. 튼튼하고 저렴하며, 유치가 빠질 때 같이 빠지므로 가장 보편적으로 사용됩니다.
- 지르코니아 (치아색): 은니 색상이 싫은 경우 사용하는 튼튼한 세라믹 재료입니다. 비용이 높고 치아 삭제량이 많습니다.

<참조 사진>
5. 유치 관리, 이것이 궁금해요!(FAQ)
Q1: 공간 유지 장치는 언제까지 하나요?
A: 빠진 자리의 영구치가 잇몸 뼈를 뚫고 올라오는 것이 엑스레이나 육안으로 확인될 때까지 착용합니다. 영구치가 나오기 시작하면 장치를 제거 합니다.
Q2: 아이가 장치를 불편해하지 않나요?
A: 처음 며칠은 이물감을 느낄 수 있지만, 아이들은 적응력이 빨라 금방 익숙해집니다. 통증은 없으니 걱정하지 않으셔도 됩니다.
Q3: 은니(SS크라운)는 몸에 해롭지 않나요?
A: 인체에 무해한 의료용 스테인리스 스틸 재질입니다. 아이들의 씹는 힘을 견디고 치아를 보호하는 데 최적화된 안전한 재료입니다.
Q4: 앞니가 썩어서 일찍 빠졌는데 괜찮나요?
A: 앞니는 어금니와 달리 공간이 닫히는 경우가 드뭅니다. 따라서 공간 유지 장치를 잘 하지 않지만, 심미적인 이유나 발음 문제로 아이가 스트레스를 받는다면 인공 치아가 달린 장치를 해주기도 합니다.
Q5: 영구치가 이미 덧니로 났는데 어떡하죠?
A: 이미 공간이 부족해 덧니가 되었다면, 공간 유지 장치로는 해결이 어렵습니다. 이때는 정밀 진단을 통해 치아 교정(악궁 확장 등)을 고려해야 합니다.

<참조 사진>
6. 마무리
“유치 관리는 영구치 건강의 거울입니다.”
지금 당장의 치료비가 아까워 유치 충치를 방치한다면, 우리 아이는 평생 가지런하지 못한 치열과 콤플렉스를 안고 살아가야 할 수도 있습니다.
유치가 일찍 빠졌거나 충치가 심하다면, 울산 드림연합치과에 내원하셔서 영구치가 잘 자라고 있는지, 공간 유지가 필요한지 꼭 확인해 보세요. 새 학기 전 꼼꼼한 검진이 우리 아이의 평생 미소를 지켜줍니다.
본 포스팅은 의료 정보 제공을 목적으로 작성되었으며, 특정 치료법을 권장하거나 진단을 내리는 것이 아닙니다. 실제 치료는 반드시 전문 의료진과 상담 후 결정해야 합니다. 한국 의료법에 위배되지 않도록 최대한 정확하고 객관적인 정보만을 제공하려 노력했습니다.

본 포스팅은 정보 제공 목적으로 작성되었으며, 특정 질병의 진단 또는 치료를 대체할 수 없습니다. 치과 치료와 관련된 모든 결정은 반드시 의료진과 상담 후 결정하시기 바랍니다.
📞 빠른 문의 : 052-260-8275
- 📍 위치 : 울산광역시 남구 삼산로 344, 드림연합빌딩
관련 유튜브 참조 영상
“참고 문서”
제목: Space maintainers in the primary and mixed dentition in children and adolescents: An overview
- 저널: Journal of Oral Biology and Craniofacial Research (2020)
- 내용: 유치가 조기에 상실되었을 때 인접 치아들이 빈 공간으로 기울어지거나 이동하는 ‘공간 상실(Space loss)’ 현상을 분석한 논문입니다. 유치를 너무 일찍 뽑고 공간 유지 장치를 하지 않으면, 영구치가 나올 공간이 좁아져 심각한 부정교합을 유발한다는 점을 강조합니다. 이는 포스팅에서 “유치 방치가 나중에 교정 비용을 키운다”는 주장의 핵심 근거가 됩니다.
- 링크: https://www.ncbi.nlm.nih.gov/pmc/articles/PMC7395276/
제목: Prevalence of developmental enamel defects of the permanent successors in children with untreated dental caries in their primary predecessors
- 저널: European Journal of Paediatric Dentistry (2018)
- 내용: 치료하지 않은 유치 충치가 아래에서 자라는 영구치 씨앗(치배)에 미치는 영향을 연구한 자료입니다. 유치 뿌리 끝의 염증이 영구치의 법랑질 형성 부전이나 변색 등 구조적 결함을 유발할 수 있음을 통계적으로 입증했습니다. “어차피 빠질 이”라고 방치하면 평생 써야 할 영구치까지 망가질 수 있다는 경각심을 주는 자료입니다.
- 링크: https://www.ejpd.me/index.php/journal/article/view/587
제목: Early childhood caries and its impact on the quality of life and physical growth
- 저널: Journal of Indian Society of Pedodontics and Preventive Dentistry (2018)
- 내용: 유치 충치가 어린이의 영양 섭취 및 신체 성장에 미치는 상관관계를 분석한 논문입니다. 심한 유치 충치로 인한 저작 기능 저하가 아이의 영양 불균형과 성장 지연으로 이어질 수 있음을 밝혀냈습니다. 유치 관리가 단순히 치아 건강을 넘어 아이의 전신 발달에 필수적임을 뒷받침하는 강력한 근거가 됩니다.
- 링크: https://www.jisppd.com/article.asp?issn=0970-4388;year=2018;volume=36;issue=4;spage=325;epage=330;aulast=Goyal
“치과 관련 학회 웹사이트” 및 참조 자료
“온라인 학술 데이터베이스”
- PubMed: https://pubmed.ncbi.nlm.nih.gov/
- Google Scholar: https://scholar.google.com/
드림연합치과 오시는 길 안내
울산광역시 남구 삼산로 344, 드림연합빌딩
울산 임플란트 치과 상담신청 | 드림연합치과
울산 임플란트, 울산 치과의 모든 것 만나러 가기! 👇










