치과에서 차마 물어보지 못했던 궁금했던 용어들, 드림연합치과가 답해드립니다!
목차 안내

안녕하세요, 울산 시민 여러분의 건강한 미소를 책임지는 드림연합치과입니다.
치과에 가면 낯선 용어들 때문에 당황스러우셨죠? 마치 외계어처럼 들리는 용어들 때문에 ‘대체 무슨 치료를 받는 거지?’ 하고 궁금하셨을 텐데요.
걱정 마세요! 드림연합치과가 여러분의 궁금증을 시원하게 해결해 드리겠습니다. 오늘은 자주 듣게 되는 어려운 치과 용어들을 쉽고 명쾌하게 정리해 드릴게요!
이 글을 통해 조금이나마 어떤 진료를 받으시는지, 여러분의 궁금증을 해소해 드리겠습니다.
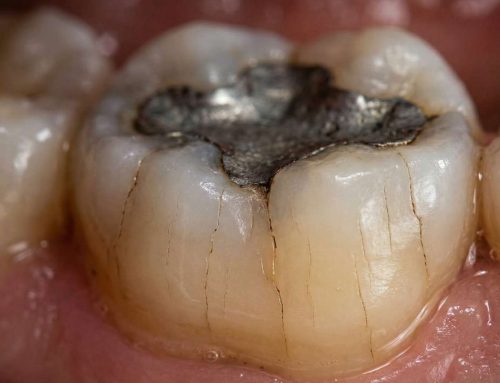
1. 충치 치료, 어떻게 하는 걸까요?
- 충치 (치아 우식증) : 치아에 구멍이 생기는 병을 말해요. 세균이 치아를 갉아먹어서 생기는 건데, 마치 치아가 벌레에 물린 것처럼 보이는 거죠.
- 레진 치료 : 충치 부위를 제거하고 치아색과 비슷한 재료로 채우는 치료예요. 충치 범위가 작을 때 주로 사용하고, 치료 후 티가 잘 안 나서 예뻐요.
- 인레이/온레이 치료 : 충치 범위가 좀 더 클 때, 치아 본을 떠서 딱 맞는 모양으로 만든 재료를 붙여 넣는 치료예요. 레진보다 튼튼해서 어금니 치료에 많이 사용돼요.
- 크라운 치료 : 충치가 너무 심해서 치아가 많이 손상되었거나, 신경 치료를 한 경우에 치아 전체를 덮어 씌우는 치료예요. 모자처럼 치아를 보호해 준다고 생각하시면 돼요.
- 신경 치료 (근관 치료) : 충치가 너무 깊어서 치아 속 신경까지 손상되었을 때 하는 치료예요. 손상된 신경을 제거하고 깨끗하게 소독해서 다시 채워 넣는 과정이에요. 마치 아픈 뿌리를 치료하는 것과 같아요.
2. 잇몸 치료, 왜 중요할까요?
잇몸병 (치주 질환) :
잇몸에 염증이 생기는 병이에요. 잇몸이 붓고 피가 나거나, 심하면 치아가 흔들릴 수도 있어요. 잇몸 건강은 치아 건강의 기본이니까 꼭 관리해야 해요!
- 스케일링 : 치아에 붙은 치석을 제거하는 치료예요. 칫솔질로는 제거하기 어려운 부분까지 깨끗하게 청소해 준다고 생각하시면 돼요. 마치 치아를 묵은 때를 벗겨내는 것처럼 시원하답니다!
- 치주낭 : 잇몸과 치아 사이에 생긴 틈을 말해요. 이 틈이 깊어지면 잇몸병이 심해질 수 있어요. 마치 잇몸에 숨겨진 작은 주머니처럼 생각하면 돼요.
3. 치아를 잃었을 때, 어떻게 해야 할까요?
임플란트 :
치아가 빠진 자리에 인공 치아를 심는 치료예요. 뼈에 나사를 심고 그 위에 치아 모양을 얹는다고 생각하면 돼요. 마치 잃어버린 치아를 되찾는 것과 같아요.
- 브릿지 : 빠진 치아 양 옆 치아를 이용해서 인공 치아를 연결하는 치료예요. 마치 다리처럼 연결해서 치아를 만들어 주는 거죠.

4. 치아를 예쁘게 만드는 방법은?
- 교정 : 삐뚤빼뚤한 치아를 가지런하게 만드는 치료예요. 마치 치아를 예쁘게 정렬하는 것과 같아요. 단순히 예뻐지는 것뿐만 아니라 씹는 기능도 좋아진답니다

5. 엑스레이, 왜 찍어야 할까요?
파노라마 :
치아 전체를 한 번에 볼 수 있는 엑스레이 사진이에요. 치아와 뼈 상태를 한눈에 파악할 수 있어요. 마치 치아의 전체 지도를 보는 것과 같아요.
- CT (컴퓨터 단층 촬영) : 3차원적으로 치아와 뼈를 촬영하는 방법이에요. 임플란트처럼 복잡한 치료 계획을 세울 때 사용돼요. 마치 치아를 입체적으로 보는 것과 같아요.
6. 치과 용어 Q&A
“사랑니는 꼭 뽑아야 하나요?” 사랑니가 삐뚤게 나거나 잇몸 속에 숨어 있어서 다른 치아에 문제를 일으킬 수 있다면 뽑는 게 좋아요. 하지만, 똑바로 잘 나고 문제가 없다면 굳이 뽑을 필요는 없답니다.
- “신경 치료하면 이가 죽나요?” 신경 치료는 치아 속 신경을 제거하는 치료라서 치아가 영양 공급을 받지 못하게 돼요. 하지만, 치료 후 크라운을 씌워 치아를 보호하고 사용할 수 있어요.
- “스케일링은 얼마나 자주 해야 할까요?” 6개월에 한 번씩 받는 게 좋지만, 잇몸이 안 좋으면 3개월에 한 번씩 받는 것이 좋을 수도 있어요.

마무리
이제 치과 용어가 조금 더 친숙하게 느껴지시나요? 드림연합치과는 항상 환자분들의 눈높이에 맞춰 쉽고 친절하게 설명해 드리기 위해 노력하고 있습니다. 치과 치료에 대해 궁금한 점이 있다면 언제든지 드림연합치과를 찾아주세요! 여러분의 건강한 미소를 위해 최선을 다하겠습니다!
본 포스팅은 의료 정보 제공을 목적으로 작성되었으며, 특정 치료법을 권장하거나 진단을 내리는 것이 아닙니다. 실제 치료는 반드시 전문 의료진과 상담 후 결정해야 합니다. 한국 의료법에 위배되지 않도록 최대한 정확하고 객관적인 정보만을 제공하려 노력했습니다.

자주 묻는 질문 FAQ | 드림연합치과 추천 질문답변
Q 1. 치과 치료, 많이 아플까요?
A. 마취를 하기 때문에 치료 중에는 통증을 거의 느끼지 않으실 거예요. 치료 후에 약간의 불편함이 있을 수 있지만, 진통제로 조절할 수 있습니다. 드림연합치과에 방문하셔서 전문 의료진과 상담 후 결정하시는 것을 권장합니다.
Q 2. 치과 치료 비용이 부담스러워요
A. 드림연합치과는 합리적인 비용으로 최상의 의료 서비스를 제공하기 위해 노력하고 있습니다. 보험 적용 여부와 비용에 대해 자세히 상담해 드리겠습니다.
Q 3. 치과가 무서워요.
A. 어렸을 적 치과 트라우마로 인해 치과 공포증이 생기신 환자분들의 마음을 충분히 공감합니다. 드림연합치과는 환자분들이 편안하고 안심할 수 있도록 따뜻하고 친절한 분위기를 조성하고 있습니다. 편안한 마음으로 방문해 주세요.
드림연합치과, 여러분의 건강한 미소를 응원합니다!
드림연합치과 오시는 길 안내
울산광역시 남구 삼산로 344, 드림연합빌딩
울산 임플란트 치과 상담신청 | 드림연합치과
울산 임플란트, 울산 치과의 모든 것 만나러 가기! 👇










